跳到主要內容
「牙齒矯正」牙齒矯正需要多久時間?高雄牙醫/左營牙醫/牙醫推薦
「牙齒矯正」牙齒矯正需要多久時間?高雄牙醫/左營牙醫/牙醫推薦
牙齒矯正治療時間會依據患者的個別情況而有差距
即使是同樣的牙齒狀況 也會因為年齡、牙根長度、骨頭硬度
和患者的配合情況而不同
一般情況下
牙齒矯正時間 短可至6-8個月 長可至2-3年
這個時間是一個大致的指引
實際的矯正治療時間還是會
受到患者當時的牙齒狀況、治療計畫、使用的矯正器種類影響
影響牙齒矯正時間的因素可以簡單分成下列幾項來討論:
( 1 ) 年齡
兒童、青少年與成年人相比
因為身體還處於生長發育的階段
骨骼尚未完全固化
在生長發育尚未停止時期進行牙齒矯正
齒列移動的速度會比成年人來得快而且較不痛
在相同牙齒的情況下
兒童或青少年的牙齒矯正時間可能會比成年人來得短
( 2 ) 矯正複雜程度
牙齒矯正複雜程度也與矯正時間長短有正相關
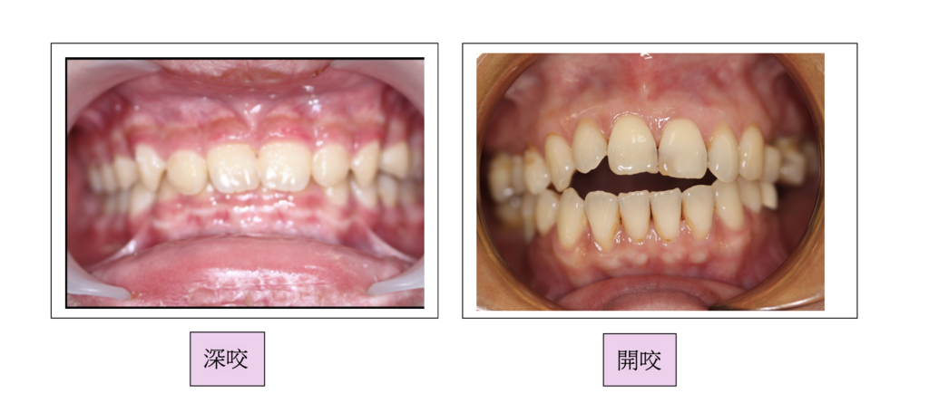
一般來說 合併有垂直向咬合不正(例如開咬、深咬)
骨性咬合不正(例如骨骼性暴牙、骨骼性戽斗)
與單純的齒列擁擠、牙齒有縫隙 等等齒性咬合不正相比
矯正治療時間會更長一些
( 3 ) 患者配合程度
矯正器種類可分為 固定式矯正器 和 活動式矯正裝置
固定式矯正器需要3-4週回診 由矯正醫師調整
才能進行牙齒移動
若是回診時間延長或是無法定期回診
都會導致矯正時間拖長
與其相比
活動式矯正裝置(例如兒童肌功能矯正、隱形牙套)
雖然較不受限於定期回診調線
一般還是建議1-2個月回診 由醫師監測牙齒移動是否有在進度內
活動式矯正裝置非常需要患者的自律和配合
不遵照醫囑逕行長時間不配戴活動式矯正裝置
也會導致矯正效果不佳、矯正時間拖長
