[牙周病洗牙]洗牙完牙肉都萎縮&牙縫變大怎麼辦?高雄牙醫/左營牙醫/牙醫推薦

[牙周病洗牙]洗牙完牙肉都萎縮&牙縫變大怎麼辦?高雄牙醫/左營牙醫/牙醫推薦

有些病友們不敢洗牙
擔心洗牙完後會造成
[牙肉萎縮&牙縫變大]怎麼辦?

[牙周病洗牙]洗牙完牙肉都萎縮&牙縫變大怎麼辦?高雄牙醫/高雄牙醫推薦
洗牙前牙肉大多處在發炎紅腫的狀況
因為口腔內的牙結石不斷釋放細菌
身體想要抵抗細菌
會送血液來提供抗體
血液多造成充血現象
牙肉會發紅、腫大、流血
[牙周病洗牙]洗牙完牙肉都萎縮&牙縫變大怎麼辦?高雄牙醫/高雄牙醫推薦
這些充血紅腫的牙肉很腫大
但牙肉會變薄像水球一樣
一受到刺激像是使用牙刷牙線甚至噴水
就會出現流血的狀況
這也就是為甚麼洗牙常常會牙齦出血
洗牙之後牙結石清除了
三天內有牙肉出血是正常的
代表紅腫的地方還沒好
正在釋放血液停止充血
三天之後紅腫的牙肉就消腫不再流血
但消腫聽起來很棒病友們有時候卻會嚇一跳
因為這時候牙肉看起來
好像牙肉萎縮了牙縫變大了
我們講解過之後病友們就不會緊張了
因為這才是良好的治療效果
也是牙肉正常的位置
[牙周病洗牙]洗牙完牙肉都萎縮&牙縫變大怎麼辦?高雄牙醫/高雄牙醫推薦
如果沒有洗牙
原本塞在牙肉旁邊的牙結石會繼續釋放細菌
慢慢刺激牙肉紅腫與牙周骨頭萎縮
最後牙肉萎縮牙縫變大之後牙齒開始動搖
就是重度牙周病難以保住了
 [牙周病洗牙]洗牙完牙肉都萎縮&牙縫變大怎麼辦?高雄牙醫/高雄牙醫推薦
這是橋頭的H先生因為牙肉流血不舒服來求診
洗牙之前牙縫大多是牙結石
甚至阻塞到牙線無法通過
牙肉大多紅腫狀況嚴重
[牙周病洗牙]洗牙完牙肉都萎縮&牙縫變大怎麼辦?高雄牙醫/高雄牙醫推薦
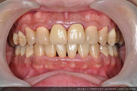
我們幫橋頭的H先生洗完牙之後
紅腫的牙肉會滲血必須含漱口水作殺菌止血
欣美牙醫叮嚀橋頭的H先生回家之後
還是要確實使用牙刷牙線
不要讓牙垢菜渣再塞回去
[牙周病洗牙]洗牙完牙肉都萎縮&牙縫變大怎麼辦?高雄牙醫/高雄牙醫推薦
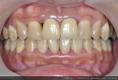
持續牙周病治療兩週後
橋頭的H先生滲血的部位減少
牙肉消腫明顯牙縫也變大了
但這才是牙肉本來應該存在的位置
在持續牙周病治療與正確居家清潔後
牙肉還會有一些生長
這時後就是健康的牙肉生長
而不是發炎引起的充血腫大了
橋頭的H先生很慶幸
避免了發展成嚴重牙周病牙齒動搖
之後都乖乖的定期找欣美牙醫報到
省下了大筆牙周手術與植牙費用
[牙周病洗牙]洗牙完牙肉都萎縮&牙縫變大怎麼辦?高雄牙醫/高雄牙醫推薦
牙肉可以健康的存在牙齒旁邊骨頭上面3mm的位置
所以若牙周病已經造成骨頭吸收
未來治療後,牙肉就會消腫去找骨頭在哪裡
如果牙肉更高超過3mm
就是發炎造成的牙肉腫大
 [牙周病洗牙]洗牙完牙肉都萎縮&牙縫變大怎麼辦?高雄牙醫/高雄牙醫推薦
所以病友們不用驚慌
洗牙後發生的牙齦萎縮在正常牙齒不會發生
而在有牙周病的牙齒則是一個正常現象
尤其是牙周病嚴重牙齒動搖的患者
萎縮的狀況會很明顯
只要正確居家清潔
維持牙肉的健康程度
牙縫變大換個角度思考反而更容易清潔呢
千萬不要害怕牙肉萎縮而拒絕接受牙周病洗牙治療
這樣反而會很快面對牙齒動搖的牙周病末期症狀

欣美牙醫線上約診

欣樂牙醫線上約診

欣美牙醫IG/欣美牙醫FB

欣樂牙醫IG/欣樂牙醫FB