「兒童牙科」下顎門牙長新牙,乳牙還沒掉,怎麼辦?高雄牙醫/左營牙醫/牙醫推薦

「兒童牙科」下顎門牙長新牙,乳牙還沒掉,怎麼辦?高雄牙醫/左營牙醫/牙醫推薦

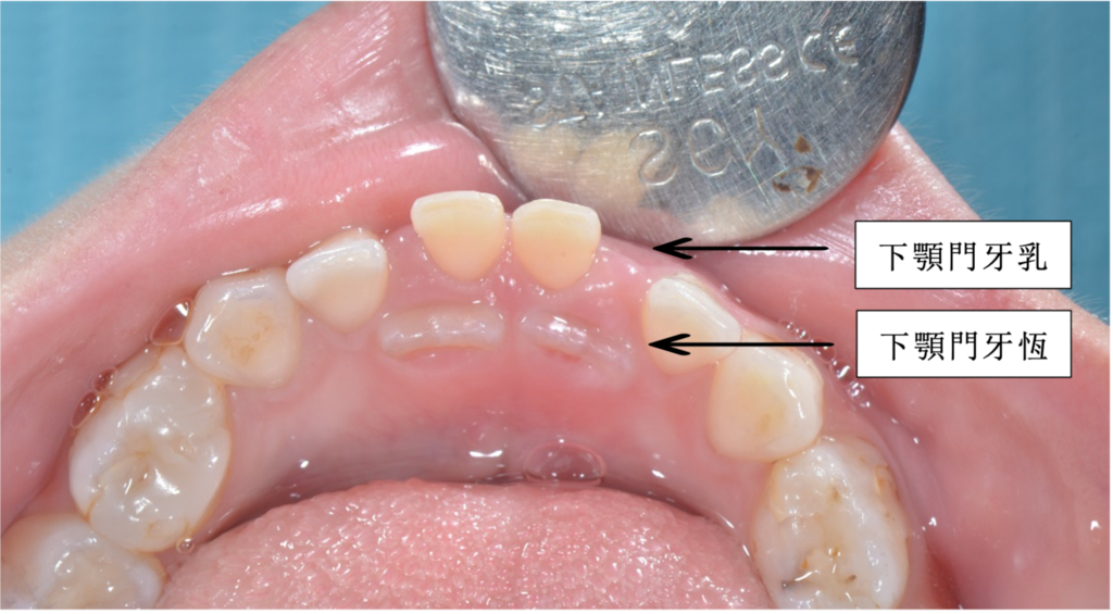
小朋友的下顎門牙長出來  偏舌側
乳牙還沒有掉  有需要拔掉嗎?
( A ) 首先 我們要知道下顎門牙的恆牙 牙胚位置在乳牙的舌側
因此長出來的時候會偏向舌側
如果乳牙的動搖度沒有很大  建議觀察
等搖晃程度增加再拔除
( B ) 舌頭和嘴唇會給與新的恆牙一個力量
讓新的牙齒往臉頰的方向移動
新的下顎門牙是否會排列整齊取決與天生的空間
不會因爲提早或者太晚拔掉造成太大的差異
一般上  如果小朋友的乳牙牙縫比較多
恆牙排列整齊的機率會比較高
「兒童牙科」下顎門牙長新牙,乳牙還沒掉,怎麼辦?高雄牙醫/左營牙醫/牙醫推薦

欣美牙醫線上約診

欣樂牙醫線上約診

欣美牙醫IG/欣美牙醫FB

欣樂牙醫IG/欣樂牙醫FB