「牙齒矯正」固定式矯正跟隱形矯正有什麼不同,治療成效會不會不一樣?高雄牙醫/左營牙醫/牙醫推薦

「牙齒矯正」固定式矯正跟隱形矯正有什麼不同,治療成效會不會不一樣?高雄牙醫/左營牙醫/牙醫推薦

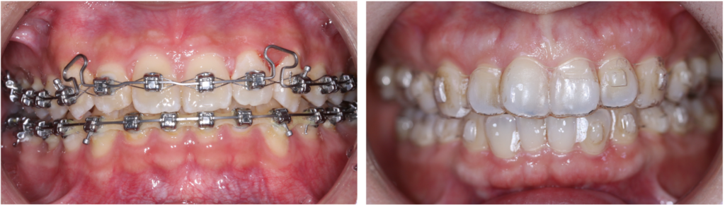
固定式矯正器
主要會在每顆牙齒上黏上金屬的矯正器
並且在上下牙弓放上施力的金屬弓線
每個月給牙醫師調整後
矯正器默默施力讓牙齒持續緩慢移動
固定式矯正器可能會在口內放置許多種裝置
例如: 彈簧、連續橡皮鏈、墊開咬合的樹脂...等
相較於需要自制力需求高的隱形牙套
固定式矯正只要有按時回診有會有持續的進步
也不需要擔心牙套弄丟的問題
但初期裝上固定式矯正器會有一個比較容易嘴破的適應過渡期
外觀上黏的第一週比較明顯
生活上會慢慢習慣
固定式裝置在咬到硬物 或是刷牙戳到造成脫落
常常不舒服需要盡快臨時打電話安排回診
隱形矯正
隱形矯正又稱作活動矯正
主要上下各有一副包覆全部牙齒的透明牙套
一個患者通常會需要幾十套牙套
每次看診時醫師會給予一定數目的牙套
請患者按造指示時間陸陸續續地更換牙套 ( 7天~14天都有可能 )
如果臨時有事無法配合看診也可以先領牙套自行更換
看診上的彈性較高
也比較不用擔心嘴巴內的裝置脫落不適需要臨時回診
隱形矯正為了得到良好的施力
會在數顆牙齒上黏上白色的樹脂豆豆
在矯正結束後移除
有時候在比較複雜的狀況下
可能還是會合併幾顆固定式的裝置輔助
隱形牙套的治療效果很大一部份取決於患者的自制力
必須整天配戴 ( 只有吃飯的時候取下 )
或者有時上下牙套之間要一直互拉橡皮筋
透明輕薄的牙套拿下來後都要固定收在盒子避免遺失
不然治療時間可能因此被拉長
「牙齒矯正」固定式矯正跟隱形矯正有什麼不同,治療成效會不會不一樣?高雄牙醫推薦
在大部分的案例中
兩種矯正方式都是可以通用的
而且在矯正的時間與效率上是差不多的
但固定式牙套只要沒有回診就不會有進度
反之隱形牙套常常沒有整天配戴或者懶得拉橡皮筋
矯正時間可能也會拉得很長
以上兩種矯正器的優缺點比較之後
要根據自己的喜好、生活與工作習慣
選擇對自己最有利跟有效率的方式都可以
針對一些特殊狀況可能還是會有個別的建議
例如要把阻生齒拉出可能用固定式矯正器比較有利
或著有些顳顎關節症狀的患者使用隱形矯正牙套有助於關節肌肉舒緩
所以建議諮詢矯正醫師作檢查與評估
會更加了解選擇的方向

欣美牙醫線上約診

欣樂牙醫線上約診

欣美牙醫IG/欣美牙醫FB

欣樂牙醫IG/欣樂牙醫FB