[牙齒美白]笑起來露出牙齦怎麼辦?美觀牙冠增長術整齦/牙齒美白推薦/高雄牙醫推薦
[牙齒美白]笑起來露出牙齦怎麼辦?美觀牙冠增長術整齦/牙齒美白推薦/高雄牙醫/左營牙醫/牙醫推薦
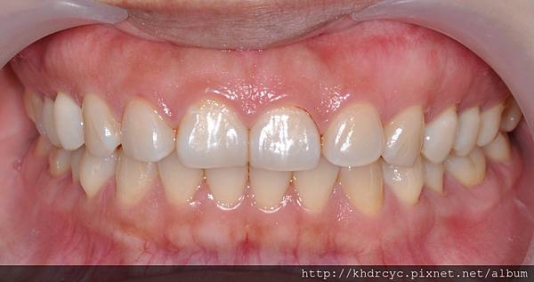
許多病友因為牙齦太厚
牙齒變太短 笑起來露出過多牙齦
甚至常常有牙齦高度不對稱的問題
笑起來會沒有自信 美觀性也不好
許多病友求助欣美牙醫
為了改善這個問題會施行牙冠增長手術
甚麼是牙冠增長手術呢
手術完馬上牙齦線就獲得改善
四週後牙肉位置就穩定下來
新的牙肉位置不但左右對稱
美觀性得到很大的提升
笑起來也更有自信囉
了解牙冠增長手術的差異
![[牙齒美白]笑起來露出牙齦怎麼辦?美觀牙冠增長術整齦/牙齒美白推薦/高雄牙醫推薦 [牙齒美白]笑起來露出牙齦怎麼辦?美觀牙冠增長術整齦/牙齒美白推薦/高雄牙醫推薦](https://pic.pimg.tw/khdrcyc/1523649558-1623661965_n.jpg?v=1523649564)
![[牙齒美白]笑起來露出牙齦怎麼辦?美觀牙冠增長術整齦/牙齒美白推薦/高雄牙醫推薦 [牙齒美白]笑起來露出牙齦怎麼辦?美觀牙冠增長術整齦/牙齒美白推薦/高雄牙醫推薦](https://pic.pimg.tw/khdrcyc/1523649559-2694359175_n.jpg?v=1523649564)
![[牙齒美白]笑起來露出牙齦怎麼辦?美觀牙冠增長術整齦/牙齒美白推薦/高雄牙醫推薦 [牙齒美白]笑起來露出牙齦怎麼辦?美觀牙冠增長術整齦/牙齒美白推薦/高雄牙醫推薦](https://pic.pimg.tw/khdrcyc/1523649311-2539197414_n.jpg?v=1523649319)
![[牙齒美白]笑起來露出牙齦怎麼辦?美觀牙冠增長術整齦/牙齒美白推薦/高雄牙醫推薦 [牙齒美白]笑起來露出牙齦怎麼辦?美觀牙冠增長術整齦/牙齒美白推薦/高雄牙醫推薦](https://pic.pimg.tw/khdrcyc/1523649312-260700886_n.jpg?v=1523649319)