[牙周病洗牙]牙齦發炎紅腫流血&刷牙流血!高雄牙醫/左營牙醫/牙醫推薦

牙齦發炎紅腫流血&刷牙流血!高雄牙醫/左營牙醫/牙醫推薦

牙齦發炎紅腫流血&刷牙流血!高雄/牙醫/推薦
常聽到病人問:
[醫生我的牙肉腫起來 刷牙都會流血
為甚麼會這樣?我有沒有牙周病阿?]
牙周問題是台灣病人的隱憂
為甚麼牙肉會紅腫流血呢
牙齦發炎紅腫流血&刷牙流血!高雄/牙醫/推薦
跟正常的牙齒牙周組織做比較
發炎的牙周組織長這個樣子
牙齦發炎紅腫流血&刷牙流血!高雄/牙醫/推薦
我們可以比較差別在於:
牙齒與牙肉的中間有沒有長牙結石?
  牙齦發炎紅腫流血&刷牙流血!高雄/牙醫/推薦
圖中箭頭處塗紅的兩塊就是牙結石
請比較上面還沒標示的圖片
牙結石是細菌的結晶
在牙齒牙肉處會不斷散發細菌
身體為了要保衛牙肉
會送抗體去殺細菌
抗體由血液輸送
所以大量的血液送到牙肉位置
牙肉就紅腫發炎起來,一碰到就會流血
牙齦發炎紅腫流血&刷牙流血!高雄/牙醫/推薦
這時候患者會有一個直覺想法
[我牙肉發炎了,一碰到就流血,所以不能碰到不要刷那邊]
越不敢做清潔,流血紅腫反而越嚴重
 牙齦發炎紅腫流血&刷牙流血!高雄/牙醫/推薦
若放著牙肉發炎不敢清潔
除了牙肉繼續紅腫之外,牙結石會向骨頭方向感染
開始破壞骨頭,這樣就變成牙周病
牙齦發炎紅腫流血&刷牙流血!高雄/牙醫/推薦
比較圖的左右
左邊是單純牙肉發炎沒有骨頭吸收
治療消腫後牙肉會回到原來位置
右邊是牙周病的牙肉發炎,有骨頭吸收
治療消腫後會有牙肉萎縮
牙齦發炎紅腫流血&刷牙流血!高雄/牙醫/推薦
牙肉消腫回到原本位置
牙齦發炎紅腫流血&刷牙流血!高雄/牙醫/推薦
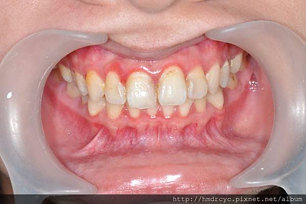
台北念書的Z小姐有相同問題
單純牙肉發炎沒有骨頭吸收
經過洗牙治療,三天後牙肉消腫回到原本位置
牙齦發炎紅腫流血&刷牙流血!高雄/牙醫/推薦
牙肉消腫回到原本位置
牙齦發炎紅腫流血&刷牙流血!高雄/牙醫/推薦
高雄的T先生有相同問題
單純牙肉發炎沒有骨頭吸收
洗牙治療兩天後 牙肉消腫回到原本位置
單純牙肉發炎的狀況
須用牙刷牙線特別清潔,紅腫流血的位置
必要時搭配牙科用漱口水
通常三天內會消腫,清潔時也停止流血
千萬不要不敢清潔
放著不管最後就變成牙周病了
牙齦發炎紅腫流血&刷牙流血!高雄/牙醫/推薦
肉消腫回到原本位置
牙齦發炎紅腫流血&刷牙流血!高雄/牙醫/推薦
前金的C先生有相同問題
單純牙肉發炎沒有骨頭吸收
洗牙治療後 隔天牙肉消腫回到原本位置

欣美牙醫線上約診

欣樂牙醫線上約診

欣美牙醫IG/欣美牙醫FB

欣樂牙醫IG/欣樂牙醫FB