「牙齒矯正」牙齒矯正可以讓臉變小嗎?高雄牙醫/左營牙醫/牙醫推薦

「牙齒矯正」牙齒矯正可以讓臉變小嗎?高雄牙醫/左營牙醫/牙醫推薦

「牙齒矯正臉是不是會變小?」
牙齒矯正後下巴是不是會變尖?」
在矯正諮詢門診中常常會有患者問到這個問題
到底牙齒矯正是不是這麼神奇
能夠使一個人的容貌在治療後獲得改變?
實際上,牙齒矯正的最終目標是將牙齒排列整齊並達到正確的咬合
牙齒排列整齊能幫助牙齒清潔變容易
降低蛀牙和罹患牙周病的風險
正確且標準的咬合關係 除了幫助日常飲食咀嚼食物之外
更能維持顳顎關節的健康
顏面肌肉施力也能變平衡
臉部外觀也會更和諧好看
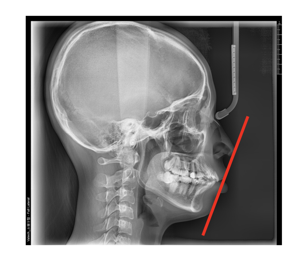
側臉的輪廓我們常用從鼻尖到下巴最突點的連線 - 美觀線來做為參考基準
亞洲人上下嘴唇的位置剛好落在美觀線上或略往內的臉型較為理想
「牙齒矯正」牙齒矯正可以讓臉變小嗎?高雄牙醫推薦
咬合不正會使雙頰的咀嚼肌為了代償咬合功能不足而變得肥大
外觀上就會出現國字臉的狀況
開始進行牙齒矯正後
飲食上的不便造成進食量變小
更因為牙齒移動造成牙齒酸痛不適
只吃較軟或流質的食物
長期下來出現暫時性咀嚼肌萎縮的情形(臉頰兩側的咬肌和太陽穴處的顳肌)
臉頰看起來就會感到比較消瘦、顴骨較突出(改變程度因人而異)
視覺上會以為是牙齒矯正讓臉變小的感覺
矯正結束後隨著飲食恢復正常
咀嚼肌萎縮的情形消失
臉頰有可能就會恢復至原來的模樣
因暴牙或是戽斗外觀問題進行牙齒矯正的患者
若是伴隨拔牙治療讓前面牙齒產生往後的移動
也會讓上下嘴唇的位置跟著往後移動
側臉看起來上下嘴唇變平
暴牙和戽斗的外觀也能獲得改善
正面看起來因為牙齒往後退
嘴唇能夠自然閉合、肌肉不緊繃
也能讓整體臉部外觀更好看
「牙齒矯正」牙齒矯正可以讓臉變小嗎?高雄牙醫推薦
牙齒矯正雖然可以增加臉型改變的機率
但是最好不要將臉型改變當作牙齒矯正的最終目的
單純牙齒矯正只能改變牙齒位置
牙齒位置改變了  上下嘴唇的位置也會跟著改變
但是臉部其他骨頭 或是軟組織的大小和位置
是不能以牙齒矯正來改變的
因此正面臉型是不能藉由牙齒矯正獲得永久的改善
如果真的希望能較明顯的對外觀與臉型出現改變
除了做正顎手術之外
建議還是考慮以醫美方式
例如施打肉毒桿菌或是玻尿酸等等作為主要手段會比較好

欣美牙醫線上約診

欣樂牙醫線上約診

欣美牙醫IG/欣美牙醫FB

欣樂牙醫IG/欣樂牙醫FB