[假牙牙套] 牙鑄心 打釘子 牙心是甚麼意思 假牙牙套推薦 高雄牙醫推薦
高雄牙醫/左營牙醫/牙醫推薦/高雄植牙
製作假牙鑄心俗稱打釘子
是假牙治療的一部分
目的是增強不足的牙齒結構
穩定未來的假牙套
類似的稱呼還有 牙心 牙樁 牙釘等等
製作鑄心之前這顆牙齒必須先根管治療
當牙齒因為蛀牙或斷裂
導致本身剩下的結構不足
套假牙時沒有足夠支撐
容易造成假牙脫落或剩下牙齒斷裂
製作牙鑄心原裡是把地基放進牙根的神經管裡
因為之前已經妥善根管治療
所以製作過程並不會有痛的問題
上顎的牙齒部分缺損
先製作牙鑄心
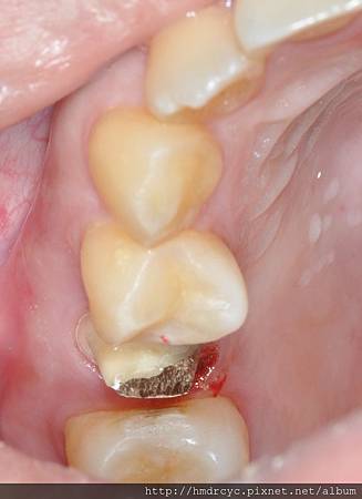
裝入牙鑄心後
金屬色部分就是重建的結構
套上假牙套之後牙齒恢復的美觀與耐用度
楠梓的L小姐有相同問題
上顎的牙齒部分缺損
高雄欣美牙醫幫忙楠梓的L小姐保存這顆牙齒
先製作牙鑄心
裝入牙鑄心後
金屬色部分就是重建的結構
套上假牙套之後牙齒恢復的美觀與耐用度
楠梓的L小姐非常開心
原本斷裂的牙齒竟然救回來
上網推薦高雄欣美牙醫
先製作鑄心將牙齒的結構增強
裝上後仍舊需要跟做假牙的步驟一樣
做好修磨與高度調整
裝上鑄心後假牙恢復就簡單了
鼓山的O先生有相同問題
因為蛀牙造成牙齒缺損嚴重
鼓山的O先生原本已經做了植牙的打算
但高雄欣美牙醫將這顆牙齒救回來
省了不少時間與預算
O先生介紹許多同事來高雄欣美牙醫做評估








