跳到主要內容
[蛀牙填補] 銀粉填補黑黑的想換成牙齒色填補 蛀牙填補推薦 高雄牙醫推薦
高雄牙醫/左營牙醫/牙醫推薦/高雄植牙

早期常有蛀牙填補完之後黑黑的不好看
因為使用銀粉填補美觀性不好
且填補過程中磨掉的牙齒也多
一但發生蛀牙挖起來會是很大一個洞
容易有敏感現象

想做重新填補換成牙齒顏色的材料
首先必須X光片評估之前填補的深度
是否已經很靠近神經
否則若填補太深 刺激神經
反而不補不痛 補完開始敏感
事前的評估完成無慮後
必須先把蛀牙與全部的銀粉移除
這邊有兩個重點
1. 銀粉移除時會散發1500倍的汞蒸氣
2. 若銀粉沒有完全移除就填補未來再蛀牙的機會很大
在專業的無汞診所像高雄牙醫
會在專業除汞的設備下安全完成銀粉移除
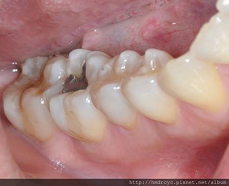
銀粉填補已產生二次蛀牙
前金的L小姐有相同問題
初診檢查發現
下排大臼齒銀粉填補已產生二次蛀牙
討論後決定同時改變牙齒外觀
去除銀粉改為樹脂美觀填補
因為術前評估得宜
治療後咬合適應快
完全未出現敏感現象

換掉銀粉填補
