[蛀牙填補] 牙齒裡面有白色黃色塊是甚麼 牙齒鈣化 蛀牙填補推薦 高雄牙醫推薦

高雄牙醫/左營牙醫/牙醫推薦/高雄植牙

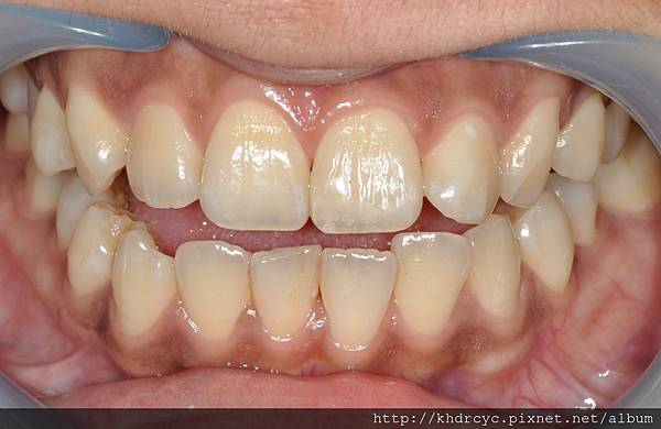
病友們發現牙齒裡面天生有黃色白色塊
這是怎麼回事呢?

高雄牙醫/左營牙醫/牙醫推薦/高雄植牙

其實不用過度緊張
這塊白色的就是砝郎質鈣化

高雄牙醫/左營牙醫/牙醫推薦/高雄植牙

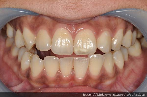
當局部砝郎質發育不全
內部生成的鈣化顏色就會透出來
形成色塊 表面平滑摳不到邊緣
也沒有疼痛不舒服的感覺

高雄牙醫/左營牙醫/牙醫推薦/高雄植牙

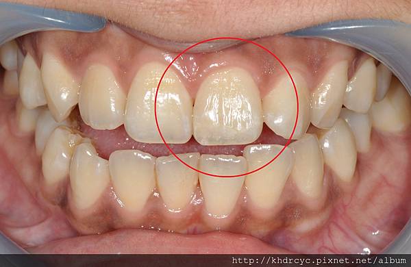
雖然這是正常狀況但會帶來兩個問題
一個是美觀 顏色不好看
一個是蛀牙 因為鈣化區抵抗蛀牙的能力
盡量要避免蛀牙 可以到欣美牙醫定期回診

高雄牙醫/左營牙醫/牙醫推薦/高雄植牙

使用局部氟漆 比一般氟膠的效果強持續期間也更長
增加局部氟化物使用來防止蛀牙
但這樣還是沒有解決美觀的問題
可以考慮在恆牙長好後美觀填補

高雄牙醫/左營牙醫/牙醫推薦/高雄植牙

如果黃塊範圍過大

高雄牙醫/左營牙醫/牙醫推薦/高雄植牙

則以瓷貼片全瓷牙回復美觀外型

高雄牙醫/左營牙醫/牙醫推薦/高雄植牙

欣美牙醫反覆強調
鈣化色塊需要跟專業醫師配合
有計畫的防止蛀牙產生
美觀的問題則也要專業醫師評估
這樣才可以妥善的解決喔
欣樂牙醫線上約診
欣美牙醫線上約診
欣美牙醫 IG
欣美牙醫 FB
欣樂牙醫 IG
欣樂牙醫 FB