跳到主要內容
[假牙牙套] 做假牙前需要抽神經嗎 假牙牙套推薦 高雄牙醫推薦
高雄牙醫/左營牙醫/牙醫推薦/高雄植牙
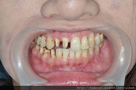
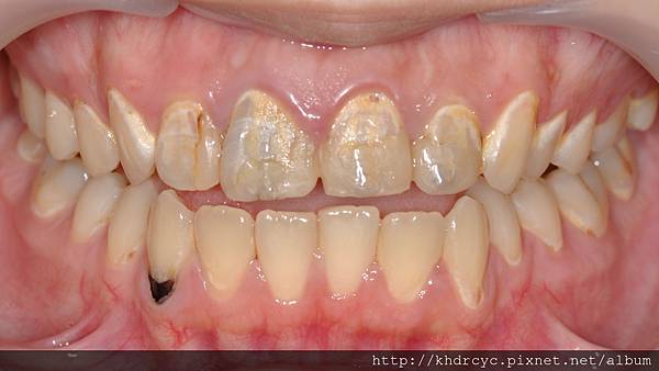
如果牙齒已經做過根管治療
通常會建議後續把假牙做起來
那要做假牙前是不是一定要先做根管治療呢?

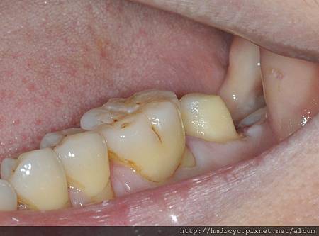
如果牙齒本身結構完整沒有比較深的蛀牙
假牙要修磨的角度跟牙齒的角度相近
假牙外型修好後沒有太接近神經管的敏感點
那可以考慮不做根管治療直接製作假牙

沒有做根管治療製作假牙時會有幾個重點
1. 在修磨的過程中 須避免高速手機產生的高熱讓神經發炎
2. 修完的牙齒因為變薄 有時候敏感性會增高 套上假牙後仍然持續
3. 假牙的黏著劑若有刺激性 會導致牙齒敏感
4. 後續維持階段必須避免牙肉萎縮 否則牙齒會敏感

若是製作牙橋 兩顆甚至三顆以上的牙齒
都要修到同樣的平行度
要顧慮每一顆牙齒都要保護神經不要磨深
在門診執行可行度上是個大難題
大部分狀況還是會建議先根管治療
做假牙把神經保存下來有好處嗎?
最大的好處是咬合感覺比較真實
做過根管治療並不是沒有感覺只是較遲鈍
因為牙周神經仍然能感覺咬力與壓力
病友們常期望
如果神經保存下來後
如果有蛀牙的問題可以早期發現
但欣美牙醫的臨床經驗是
蛀牙要蛀到有感覺 往往都是較大的洞
而這樣的蛀洞我們大多可以在假牙邊緣或X光上檢查出來
所以診斷出來時間並不會差太多
最重要的是 若真的發現蛀牙
不管是有根管治療或沒有根管治療的假牙
都必須拆除處理理面牙齒後再重做假牙
結果殊途同歸
有沒有抽神經都一樣

而沒有根管治療過的假牙
在後續維持的過程中 若出現牙齦萎縮的狀況
露出底下牙根造成敏感
這時候很尷尬 因為不管是牙根覆蓋手術
或者牙根面直接樹脂填補
都會因為上面有個假牙而效果不好
那根管治療後的牙齒做假牙
會比沒有根管治療後的牙齒差嗎
如同前面提到的 咬合感覺會差一點
但不管是咬力或強度硬度上 都沒甚麼差別
反而俱備幾個好處
1. 不用顧慮牙齒修磨厚度 假牙設計更理想
2. 若出現牙齦萎縮現象 不會有敏感問題
3. 可用更強的樹脂黏著劑而不會刺激神經 假牙更穩固
若是一顆保存完整有機會保存神經的牙齒要做假牙
留美的牙醫師大多會建議盡量保存牙齒
以不做根管治療直接做假牙為主
若後續有敏感問題則再製作新的假牙
留日的醫師大多建議預防後續可能的敏感問題
先製作根管治療 製作較高品質的假牙
未來大部分狀況也就少有敏感或疼痛問題
經過這樣的分析 病友們想法如何呢?

如果牙齒條件好
做假牙前不做根管治療當然是可行的
但欣美牙醫比較建議若真要製作假牙
先根管治療 後續的問題會比較少
重做假牙的機會更低
這有個前提就是
醫師的根管治療技術能達一定水準
兼顧品質與療程規劃
也就是說
欣美牙醫根管治療技術是病友們肯定的
那麼在製作假牙前先根管就是合理的治療計畫
欣樂牙醫線上約診⬇
欣美牙醫線上約診⬇
欣美牙醫 IG
欣美牙醫 FB
欣樂牙醫 IG
欣樂牙醫 FB