跳到主要內容
[假牙牙套] 牙齒剩下一點點可以保留嗎 牙齒斷掉需要拔除嗎 假牙牙套推薦 高雄牙醫推薦
高雄牙醫/左營牙醫/牙醫推薦/高雄植牙
牙齒因為外傷斷裂或嚴重蛀牙
有可能整個牙冠都損失掉
面對這樣的問題病友們會很焦慮
[牙齒只剩下一點點牙根怎麼辦]

高雄欣美牙醫建議先不要急著放棄
我們比較在意牙肉下的東西
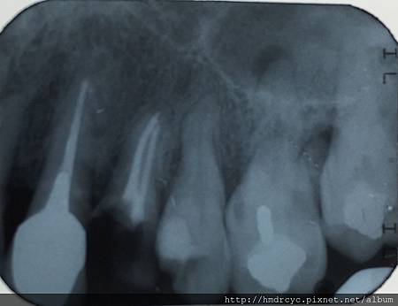
照張X光片檢查很重要

牙肉上牙冠部分就算完全缺損了
但只要牙肉下的牙根還沒有斷裂
我們還是有機會打個鑄心救回來

打上鑄心後 仍然可以恢復牙齒高度寬度

接下來就跟一般牙齒製作假牙的步驟一樣

可以正常咬合了
高雄欣美牙醫常常幫助病友們
解決這樣的問題

根管治療完成先裝鑄心恢復

裝上鑄心

裝上臨時假牙咬合
橋頭的K小姐有相同問題門牙斷裂
經過X光評估建議先裝鑄心恢復
高雄欣美牙醫先幫忙把根管治療完成
經過X光評估建議先裝鑄心恢復
裝上鑄心後牙齒的高度寬度都恢復
假牙也可以穩定的包覆在牙齒上
裝上臨時假牙咬合
門面重建了K小姐也不再擔心
等牙齒製作全瓷牙冠完成後
可以期待恢復功能與美觀性
所以高雄欣美牙醫建議
牙齒就算都缺損只剩一點點牙根
也請不要放棄快到門診做評估
恢復原本牙齒的機會還是很大的
欣美牙醫線上約診⬇
欣樂牙醫線上約診⬇
欣美牙醫 IG
欣美牙醫 FB
欣樂牙醫 IG
欣樂牙醫 FB