跳到主要內容
[根管治療] 抽神經會不會痛 根管治療會不會痛 根管治療推薦 高雄牙醫推薦
高雄牙醫/左營牙醫/牙醫推薦/高雄植牙
根管治療讓許多病友緊張血壓升高
許多病友問欣美牙醫[到底抽神經會不會痛呢]

許多病友對根管治療的印象就是
每次去都很痛 一直換藥一直約
弄很久都沒好 治療期間都不能咬
其實隨著麻藥普及與根管治療技術進步
現在的根管治療大多有麻醉
而且很有機會可以一次療程就完成

根管治療是採用局部麻醉
治療開始前在要治療的牙齒區域打麻藥
其他牙齒不會麻 人也不用睡著
開始治療前欣美牙醫會測試麻藥程度是否足夠
若還不夠麻 通常有幾個原因:
1. 治療前喝酒或平常酒喝很多
2. 根管內感染發炎時間長 細菌多
3. 等待麻藥作用時間不夠久
這也是有些病友曾經歷抽神經痛
打幾次麻藥都打不麻的原因
其實這時候追加麻藥或者改變注射方式
等待久一點最後都會麻

麻藥作用完全後
根管治療的過程幾乎沒有甚麼感覺
在療程中只會感覺欣美醫師不斷換藥換器械
尤其有些病友來之前越緊張
發現沒有甚麼感覺的時候越放鬆
最後就真的睡著了
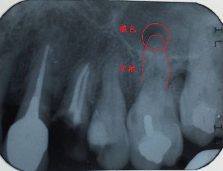
根管治療後通常分為兩種狀況
一次療程完成根管治療的症狀很少
通常只有前三天用力咬到的時候會感覺疼痛
麻藥退之後頂多頭24小時感覺怪怪的
病友多只吃一包止痛藥 很快就沒甚麼異樣了

多次療程才能完成的根管治療
通常根管內狀況複雜 難以徹底清潔
所以症狀會比較不穩定
欣美牙醫建議病友搭配止痛藥
只要小心不要用力咬到牙齒
也都會在短時間內緩解疼痛症狀
若病友的狀況就是這種需多次療程的根管治療
欣美牙醫會特別叮嚀
有症狀時搭配吃藥 按時間回診
小心處理 良好配合
通常不會有過多不舒適的感覺
欣美牙醫 FB
欣樂牙醫 IG
欣樂牙醫 FB
欣樂牙醫線上約診
欣美牙醫線上約診
欣美牙醫 IG