跳到主要內容
[牙齒美白] 甚麼是居家美白 居家美白推薦 高雄牙醫推薦
高雄牙醫/左營牙醫/牙醫推薦/高雄植牙

通常在冷光牙齒美白兩星期後
高雄欣美牙醫會推薦繼續居家牙齒美白

搭配牙齒美白牙托 在夜間使用
通常病友們自己在家操作
四個星期就完成了

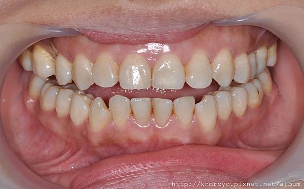
了解牙齒顏色偏黃冷光美白後的差異

牙齒變白了但並不到驚豔的亮白
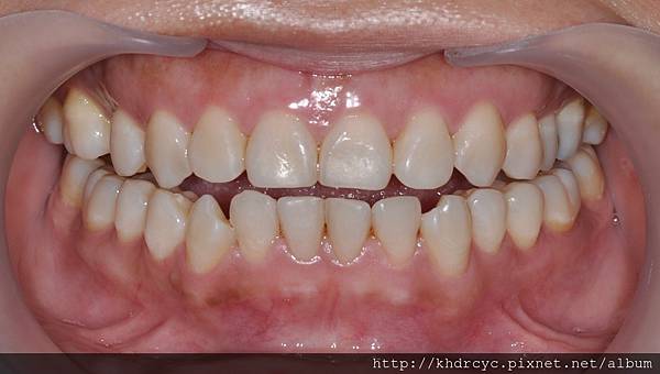
繼續居家美白四週

居家美白後 牙齒明顯變白
表面不均勻的部分也得到改善
了解居家美白後的差異

居家美白最主要的目的
就是讓牙齒在較長的美白療程中
達到冷光短時間沒辦法做到的均勻與亮白
尤其是原本就不黃的牙齒

原本牙齒就不黃

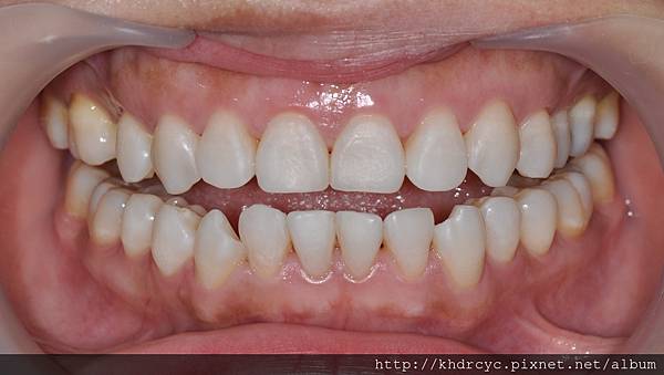
仁武的C小姐有相同問題
原本牙齒就不黃
希望能變得更白
欣美牙醫幫忙四週居家美白後
仁武C小姐的牙齒顏色
很幸運有達到更白的色階
仁武C小姐很開心
又介紹了許多姊妹來欣美牙醫美白

了解居家美白治療
