跳到主要內容
[根管治療] 神經已經抽掉了 怎麼還會痛呢? 根管治療推薦 高雄牙醫推薦
高雄牙醫/左營牙醫/牙醫推薦/高雄植牙
根管治療完病人要回家前
高雄欣美牙醫會叮嚀:
[回去麻藥退了以後
如果會痛可以吃止痛藥
不痛連藥都不用吃
小心不要咬硬的 咬硬的會痛
而且怕你咬裂掉]
病友們疑惑
[神經不是抽掉了 怎麼還會痛?]
我們要先知道根管治療也就是俗稱的"抽神經"
到底在治療什麼神經?
看上面這張圖 這是牙神經的分佈圖
根管治療就是將牙神經清除
並且 根管擴大 緻密封填
這樣牙齒就沒有神經了嗎?

其實不會完全沒有神經
因為還有牙周神經
牙齒感覺會少一半 但不會完全沒感覺

根管治療的範圍就是藍色箭頭
會在牙根尖刺激到周圍神經
造成一個小小的傷口
所以有時候第一天脹脹痛痛的就是因為這樣
而隨著這個傷口在三天內癒合
症狀也會跟著消失 而且一天比一天緩解
高雄欣美牙醫知道如果真的會痛就是這三天
所以開三天消炎止痛藥原因在此
用力咬這顆牙齒同樣會壓迫到根尖位置
所以用力咬會痛也是同樣的原因

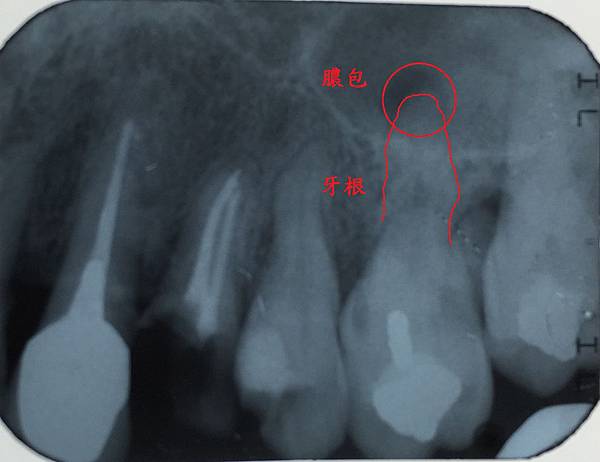
另外一個根管治療完還會痛的原因是牙根感染化膿

蛀牙引起牙神經壞死
膿順著牙根管開始感染下面的骨頭
破壞骨頭後形成一個膿包

在口腔裡面的狀況就是這樣

嚴格的說膿包其實在骨頭裡面
在口腔裡面看到的是膿流出來的開口

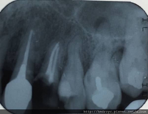
在X光上面是這樣的

X光一般病友不容易看懂
高雄欣美欣樂牙醫標示一下

只要在X光片或口腔內看到根管化膿
大概就知道這顆牙齒很難一次根管治療完成
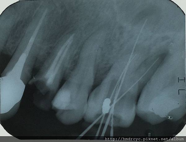
通常要分兩到三次做
1. 第一次完成神經管清創 擴大 根管開口不封讓膿排出
2. 第二次放藥到膿包的位置 根管開口封閉
3. 第三次觀察症狀理想 完成根管封填
但只要有根管化膿的狀況
因為感染的關係
每次治療完都有可能在三天內出現腫痛的現象

這顆牙齒我們一樣治療到根尖化膿的位置
牙齒內的狀況只能從X光來確認
所以根管治療完為什麼還會有腫痛的症狀
通常就是兩種狀況
1. 刺激牙周神經造成三天內的不舒適與咬痛
2. 牙根管化膿感染
發生疼痛現象不用驚慌
先服藥 小心不要咬硬的
通常都會在三天內消除
且記得後續還需要製作全瓷假牙將牙齒保護起來喔
欣美牙醫 FB
欣樂牙醫 IG
欣樂牙醫 FB
欣樂牙醫線上約診
欣美牙醫線上約診
欣美牙醫 IG