跳到主要內容
[人工植牙] 甚麼是即拔即種植牙 我可以即拔即種植牙嗎? 高雄牙醫 人工植牙推薦
高雄牙醫/左營牙醫/牙醫推薦/高雄植牙
隨著植牙技術的成熟
越來越多病友能享受植牙帶來的好處
不用再提心吊膽植牙風險
而病友們也希望植牙後越快有牙齒越好

了解即拔即種植牙

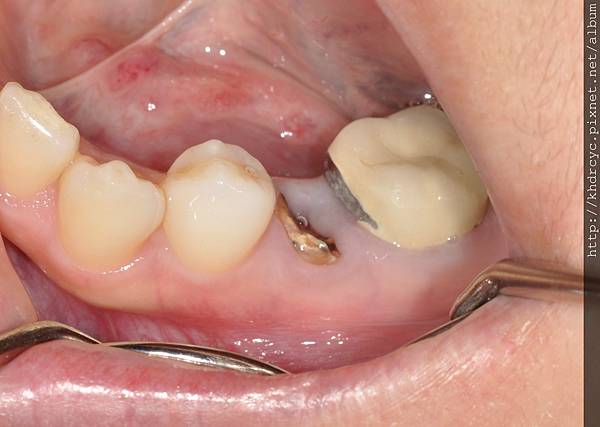
即拔即種植牙就是在拔牙的同時植入人工牙根
若有補骨粉與補牙肉的部分也可能會同時完成

當天就可以看到植牙的金屬套在原本牙根的位置

傷口縫合後就已經止血腫脹與疼痛感都微乎其微

牙肉癒合良好

瑞士ITI植牙體

臨時假牙製作

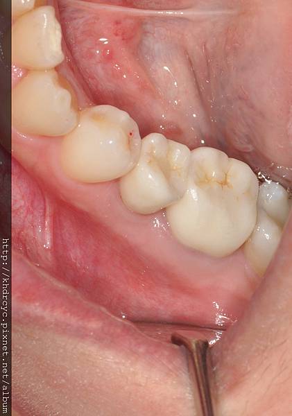
經過塑造的牙肉外型很自然很像真牙

了解即拔即種植牙手術的差異

鼓山的L小姐有同樣問題
根蛀爛的牙齒已經多年
對牙科恐懼不管牙醫師建議做牙橋或植牙
都讓鼓山L小姐卻步不前
最後決定來欣美牙醫求助
欣美牙醫幫鼓山L小姐做詳細檢查
同時照顧鼓山L小姐恐懼的心情
鼓山L小姐雖然下定決心
但仍然希望盡量減少手術次數
且希望越快有牙齒可以用越好
欣美牙醫透過電腦斷層3D導板技術
幫鼓山L小姐施行了即拔即種植牙手術
欣美牙醫在一週後幫鼓山L小姐拆線
牙肉癒合良好鼓山L小姐相當放心
搭配欣美牙醫嚴選的瑞士ITI植牙體
預計在三週後進行臨時假牙製作
等待的過程欣美牙醫幫鼓山L小姐
將後面不理想的假牙拆除
牙齒重新根管治療先完成
並印模製作臨時假牙塑造牙肉外型
在即拔即種植牙手術當天六週後
鼓山L小姐完成了最後的假牙裝置
經過塑造的牙肉外型很自然很像真牙
只有一次手術完全化解了鼓山L小姐的恐懼
欣美牙醫還是叮嚀鼓山L小姐
植牙完成是開始不是結束
未來更確實的清潔與定期回診
才能讓今天的治療結果長長久久
鼓山L小姐不斷感謝
後來把先生跟婆婆都介紹來欣美牙醫評估植牙呢
欣美牙醫 IG
欣美牙醫 FB
欣樂牙醫 IG
欣樂牙醫 FB
欣樂牙醫線上約診
欣美牙醫線上約診