跳到主要內容
[假牙牙套] 怎麼知道假牙裡面的牙齒有沒有問題 假牙牙套推薦 高雄牙醫推薦
高雄牙醫/左營牙醫/牙醫推薦/高雄植牙
做假牙之後牙齒就被包在裡面了
那怎麼知道裡面的牙齒有沒有問題呢?
做完假牙後欣美牙醫從外部檢查
可以發現假牙動搖 牙肉發炎 假牙邊緣蛀牙
這樣的診斷 可以說是"確定有問題"
但沒辦法 "確定沒問題"

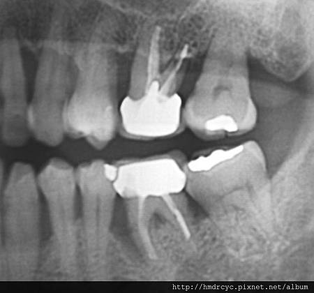
假牙必須利用X光片來更精確的判斷有沒有問題
在X光上面假牙是白色的影像
但X光片判讀困難 所以這部分必須仰賴醫師的專業


通常假牙底下牙齒會有幾個問題
比較難從外部檢查 而建議做X光片檢查
包括:
1. 蛀牙
2. 牙周病與骨頭破壞
3. 根管化膿
4. 牙根斷裂

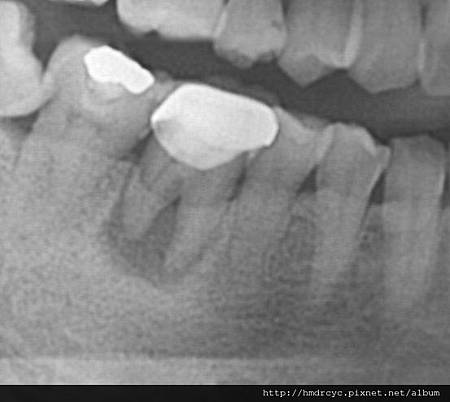
蛀牙是常見的問題
臨床上可以在牙套邊緣勾到空隙
X光上則是一個黑色的蛀洞可以參考蛀牙範圍

X光通常會有1-2mm的誤差
所以實際上牙齒裡的洞會比影像大

只要牙套底下出現X光可以辨別的蛀洞
未來繼續蛀牙的速度會很快

牙套內的牙齒也會流失的很嚴重
牙周病不管在假牙或自然牙齒
都必須X光來診斷嚴重程度

輕微的牙周病經過照X光片
可以檢查出牙肉底下牙結石的位置

而牙周病最可怕的部分就是造成骨頭破壞

有時候外表看起來不錯的牙齒
其實裡面骨頭以經破壞嚴重甚至造成動搖

嚴重者骨頭以經完全破壞
牙齒失去支撐 就會浮起來
這時就只能考慮拔除

在牙橋有時感覺動搖度並不大
那是因為跟其他牙齒聯結在一起的關係

單顆牙齒骨頭破壞嚴重就會馬上出現動搖

骨頭破壞後原本骨頭位置被發炎的肉取代
甚至形成膿包

根管化膿是原本神經管裡的組織感染
因為上面有牙套 所以就往牙根尖方向蔓延

這會發生在沒有先做根管治療的牙齒
以及根管治療不完全的牙齒

解決方案必須考慮牙套拆除
重新根管治療 甚至牙根尖手術去除膿包
不然有時膿包繼續擴大
會感染到隔壁牙齒甚至形成囊腫

牙根斷裂是牙齒的絕症

斷裂後通常會有咬痛 腫包
牙根可以探到裂痕 但假牙包住的部分則較難發現

若假牙底下支撐的牙齒斷裂
那唯一的治療方式就只有拔除了

斷裂處的發炎會日漸吸收周圍的骨頭
若硬撐著不拔 最後牙肉骨頭都會過度破壞
