跳到主要內容
[牙齒美白] 甚麼是牙齒噴砂美白 牙齒美白推薦 高雄牙醫推薦
高雄牙醫/左營牙醫/牙醫推薦/高雄植牙

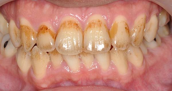
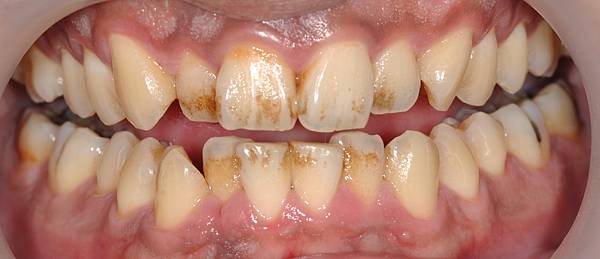
許多高雄朋友牙齒看起來黃黃髒髒的
並不是牙齒本身的顏色變黃
而是煙垢 茶垢 咖啡垢造成牙齒表面染色
就像車子被泥巴沾到
要先洗乾淨才知道原本烤漆是甚麼顏色

高雄朋友會諮詢是否可以牙齒美白
這時欣美牙醫會推薦
只要單純的牙齒噴砂美白
就可以讓牙齒恢復乾淨
改善黃垢的問題

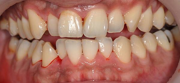
牙齒噴砂美白後牙齒變乾淨
顏色會更白透明度也更明顯
牙齒美白牙醫幽默的比喻
這是牙齒的素顏不是真的顏色變更白

黃垢往往也造成牙肉容易卡細菌
引起牙肉紅腫
所以牙齒噴砂美白做完
欣美牙醫會提醒朋友們
輕微滲血是正常現象
以漱口水做殺菌止血很快就會改善

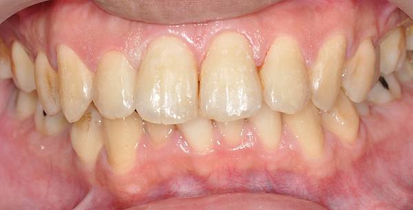
只要單純前牙噴砂美白
不滿意再進一步牙齒美白也可以
只做了牙齒噴砂美白

楠梓的P先生來欣美牙醫這兒諮詢牙齒美白
欣美牙醫推薦只要單純前牙噴砂美白
楠梓的P先生很懷疑 很想做牙齒冷光美白
欣美牙醫推薦先做牙齒噴砂美白
如果對牙齒本來的顏色不滿意再進一步牙齒美白也可以呀
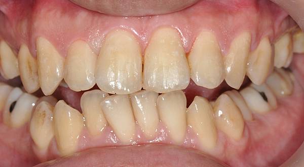
牙齒噴砂美白完後
楠梓的P先生非常訝異
欣美牙醫推薦的噴砂美白竟然這麼有效
真的只做了牙齒噴砂美白
就讓牙齒的外觀做了這麼大的改善
楠梓的P先生非常感謝牙齒美白牙醫的推薦
希望後面牙齒的銀粉填補也要約診換掉
欣美牙醫也推薦了牙齒橡皮擦與飲食控制
希望楠梓的P先生能守住戰果
長久維持美觀的門面
找回發自內心的微笑
欣美牙醫線上約診⬇
欣樂牙醫線上約診⬇
欣美牙醫 IG
欣美牙醫 FB
欣樂牙醫 IG
欣樂牙醫 FB