跳到主要內容
[牙齒美白] 門牙都爛掉了怎麼辦 如何重建美觀笑容 牙齒美白推薦 高雄牙醫推薦
高雄牙醫/左營牙醫/牙醫推薦/高雄植牙
許多病友專程來找欣美牙醫
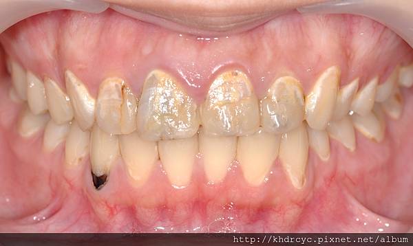
因為長期牙齒的問題導致美觀受影響
想要挽救時已經六神無主
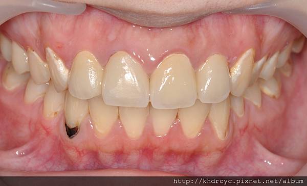
[醫生我該植牙還是做假牙還是補起來就好........]

門面的美觀問題

訂好治療計畫後
先詳細講解需要健保治療與自費治療的部分

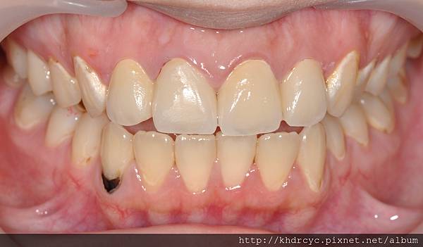
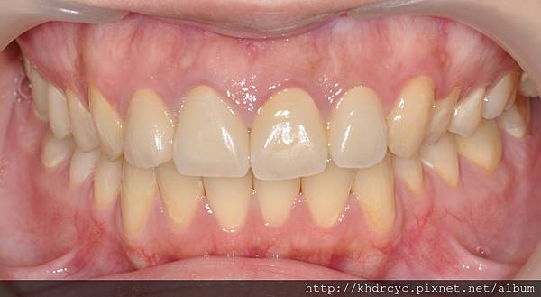
完成門牙治療包括根管治療與牙周病
改善牙齒結構與牙肉健康

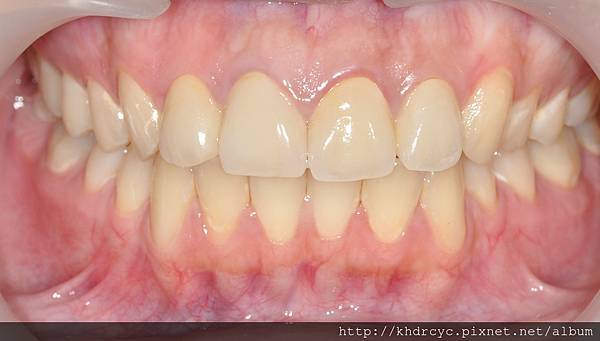
等待門面牙肉與全瓷假牙貼合




牙齒變美變白連口氣都改善了
笑起來也更能自信的露牙齒
唱歌也不用顧忌


仁武的C小姐有相同問題
因為要往演藝圈發展
不得不面對長期對牙科治療的恐懼
與牙齒門面的美觀問題
特地來找欣美牙醫求助
仁武的C小姐已經訂下拍宣傳照的日期
不但要恢復美觀而且必須短時間內處理完成
欣美牙醫幫仁武的C小姐訂好治療計畫後
先詳細講解需要健保治療與自費治療的部分
與仁武的C小姐確認後一次安排好所有的療程
欣美牙醫首先幫仁武的C小姐
完成門牙治療包括根管治療與牙周病
改善牙齒結構與牙肉健康
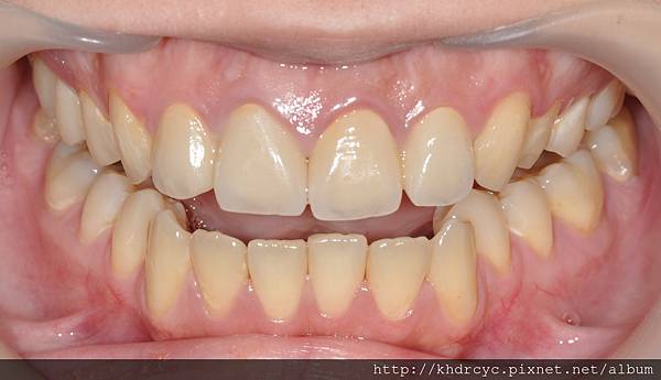
配合療程仁武的C小姐裝上全瓷假牙套
美觀立刻得到改善
等待門面牙肉與全瓷假牙貼合的過程
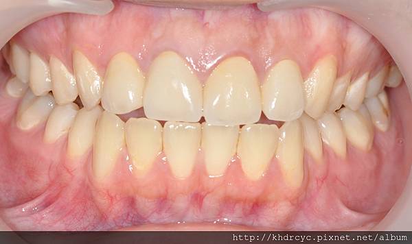
療程持續幫助仁武的C小姐蛀牙填補
與製作全瓷貼片繼續改善美觀
感謝仁武的C小姐對療程相當配合
欣美牙醫在短時間內達成任務
拍完宣傳照隔天仁武的C小姐
與經紀人特地來欣美牙醫道謝
過去因為對牙科的恐懼
已經忍受門牙爛掉的問題很久
現在跟欣美牙醫同心協力完成整個療程
不但牙齒變美變白連口氣都改善了
笑起來也更能自信的露牙齒
唱歌也不用顧忌
仁武的C小姐最訝異的
是美觀能改變這麼多
且在這麼短的時間內就發生
後來仁武的C小姐介紹了許多
同樣想往媒體發展的朋友來欣美牙醫
欣美牙醫很開心成功達成任務
叮嚀仁武的C小姐門面完成是開始不是結束
過去的清潔習慣導致之前的問題
未來一定要清潔的更好才能維持住
所以良好的清潔習慣跟定期回診
是能不能長期維持最重要的事
仁武的C小姐很開心的預約了下次洗牙檢查時間
欣樂牙醫 IG
欣樂牙醫 FB
欣樂牙醫線上約診
欣美牙醫線上約診
欣美牙醫 IG
欣美牙醫 FB