跳到主要內容
[假牙牙套] 假牙有黑邊怎麼辦 改善假牙露出黑邊 假牙牙套推薦 高雄牙醫推薦
高雄牙醫/左營牙醫/牙醫推薦/高雄植牙
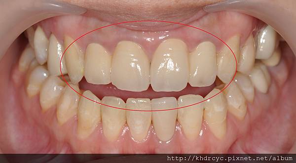
有時候假牙完成後
靠近牙肉的地方會露出黑邊
要怎麼辦呢?

其實黑邊是傳統瓷牙的宿命
因為外表牙齒色的陶瓷下
有一個金屬內層
黑邊就是這樣來的

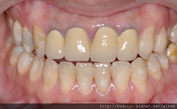
全瓷牙內層沒有金屬
沒有黑邊的問題
傳統瓷牙製作時可以用一些技巧

把邊緣放到牙肉底下

用牙肉的厚度遮住黑邊
但長期維持相當困難
只要牙肉變薄 或輕微的萎縮
黑邊就露出來了

所以目前在前牙美觀區
全瓷牙會是首選
如果黑邊已經露出來了
要改善美觀一定要有重做假牙的心理準備
不管是邊緣填補
補牙肉去遮
老實說效果都不好
而且長期維持不易

重作假牙時
一定要選擇全瓷牙
不然同樣露黑邊的循環會再一次

最理想狀況當然是
一開始做假牙時
就在前牙美觀區選擇全瓷牙材質

所以假牙的術前評估相當重要
千萬不要輕忽

比較假牙黑邊改善的前後對比
