跳到主要內容
[假牙牙套] 門牙斷掉了 該怎麼辦 假牙牙套推薦 高雄牙醫推薦
高雄牙醫/左營牙醫/牙醫推薦/高雄植牙

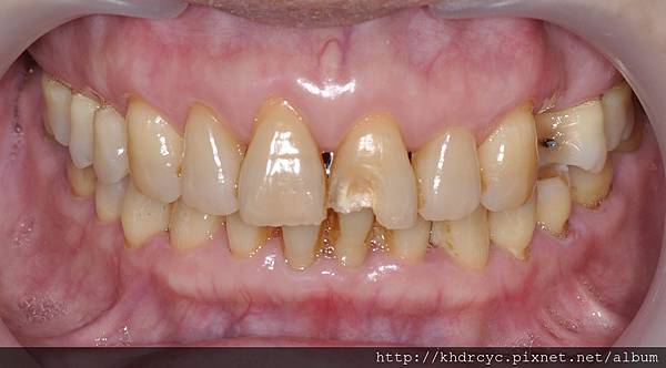
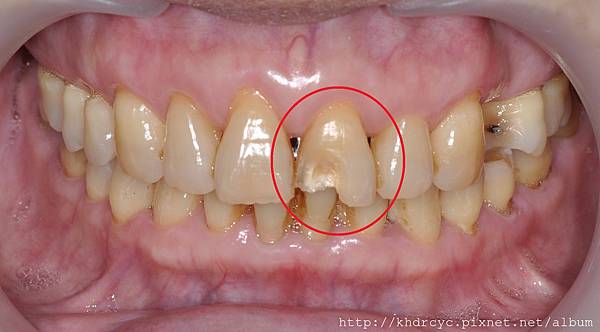
門牙撞斷是常發生的狀況
病友們焦急的來欣美求診
最想知道的就是
[斷掉的門牙還能救嗎?]

第一步欣美牙醫會建議照X光片檢查
因為必須確定
牙根沒有損傷
才有補救的機會

尤其是斷裂處是否很靠近牙神經
需要先做根管治療
或者這顆牙齒本身就有做過根管治療
以目前的全瓷假牙恢復
因為沒有內部的金屬內層
不但美觀性相當的好
而且陶瓷結構更強
未來再斷裂的機會很少

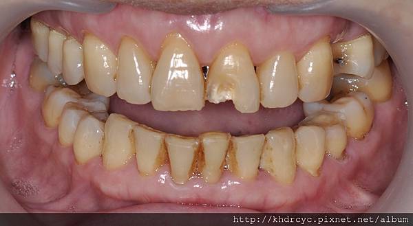
比較牙齒斷裂跟全瓷假牙治療後

橋頭的R女士有相同問題
多年前門牙做過根管治療
以前咬骨頭都沒事
結果今天咬蘋果斷掉了
非常緊張的來找欣美牙醫
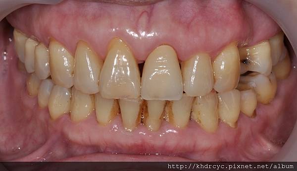
欣美牙醫幫忙橋頭的R女士重新根管治療
且先裝上臨時假牙應急
最短的時間內完成全瓷假牙
橋頭的R女士很開心
因為馬上就是嫁女兒的大喜日子
欣美牙醫為她即時救援
才能漂亮登場
後來好多病友都是橋頭R女士的鄰居
特地介紹來欣美牙醫求診的呢
了解門牙斷裂跟全瓷假牙治療比較
