跳到主要內容
[牙周病洗牙] 為什麼牙齒矯正前牙醫建議先做牙周病治療 牙周病治療推薦 高雄牙醫推薦
高雄牙醫/左營牙醫/牙醫推薦/高雄植牙

專業矯正診所像高雄欣美牙醫
在矯正治療開始前還必須先做矯正前治療
因為牙齒黏上矯正器之後清潔難度大增
所以若在矯正前就無法做到理想的清潔
未來矯正器黏上去之後
不管牙周病或者蛀牙都會變得更嚴重

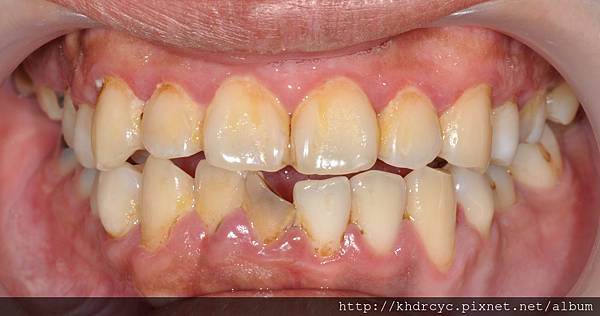
牙肉發炎與牙周病的病友特別需要口腔衛生控制

達成大部分牙肉的消腫

牙肉牙周狀況控制的很理想
矯正前治療牙周控制的差別

仁武的G先生完成矯正評估
高雄欣美牙醫建議先做矯正前牙周控制
幫仁武的G先生做了全口洗牙
並同時口腔衛教讓仁武G先生學會牙刷牙線用法
在一周內達成大部分牙肉的消腫仁武G先生很訝異
高雄欣美牙醫與仁武G先生反覆確認
牙刷牙線使用狀況
一個月左右矯正前牙周控制完成
仁武G先生將牙肉牙周狀況控制的很理想
仁武G先生已經準備好
高雄欣美牙醫也很有信心
整個矯正流程一定會很順利
可以完全避開[矯正成功 牙周動搖]的悲劇了
欣樂牙醫 FB
欣樂牙醫線上約診
欣美牙醫線上約診
欣美牙醫 IG
欣美牙醫 FB
欣樂牙醫 IG