[牙齒美白] 甚麼是冷光美白 牙齒美白推薦 高雄牙醫推薦
高雄/牙醫/推薦/左營/美白/植牙
冷光牙齒美白是用牙科專業藥劑
讓牙齒內的色素分解達到美白效果
只需30分鐘馬上有很好的美白效果
剛做完會有輕微牙齒脫水24小時內就會恢復
如果病友們當下沒有敏感 痠痛的症狀
可以將療程延長到40分鐘
牙齒冷光美白效果在治療三天後才達到最好
現在高雄欣美牙醫做冷光牙齒美白時
會符合衛生署規範藥物濃度
所以安全施行冷光牙齒美白時
對於不均勻色與特別黃的部位
如果搭配居家美白效果會更完美
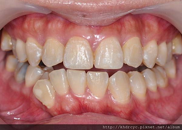
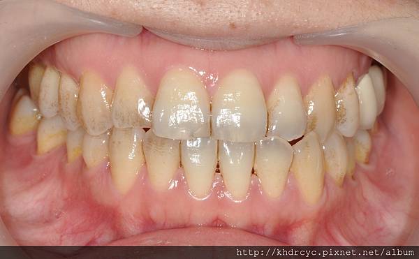
牙齒偏黃
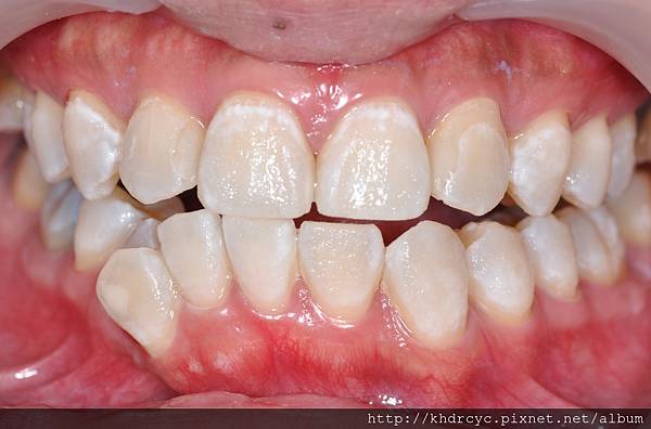
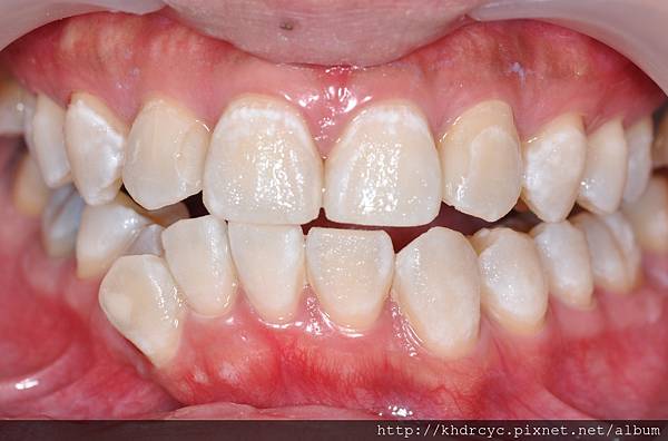
冷光美白後牙齒明顯變白
左營的D小姐為牙齒偏黃困擾來欣美牙醫求助
冷光美白後牙齒明顯變白D小姐很開心繼續居家美白
同時要注意避免有色飲食
包括 茶咖啡紅酒可樂 醬油咖哩麻辣鍋
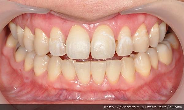
經過四週居家美白後
D小姐很訝異牙齒可以變這麼漂亮
了解牙齒美白的效果差異






