跳到主要內容
[牙齒美白] 我需要牙齒美白嗎? 牙齒美白推薦 高雄牙醫推薦
高雄牙醫/左營牙醫/牙醫推薦/高雄植牙
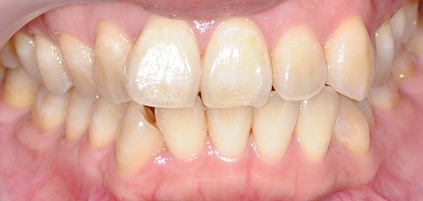
當牙齒顏色偏黃
朋友們照鏡子就覺得很不舒服
社交變的沒自信心情也受影響
在高雄 牙齒美白的病友很多
牙醫推薦的美白方式常會是
冷光牙齒美白與居家牙齒美白

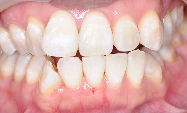
冷光牙齒美白需要在牙醫治療下
於牙科診所牙齒美白30分鐘
如果病友們當下沒有敏感 痠痛的症狀
可以延長到40分鐘的牙齒美白治療
牙齒美白效果當下就看的到
牙齒會明顯的變白
現在高雄欣美牙醫做冷光牙齒美白時要符合衛生署規範藥物濃度
所以安全施行冷光牙齒美白時
對於不均勻色與特別黃的部位
往往還不能徹底改善 所以高雄病友們常反應
[有變很白喔~~ ] 但還不到令人驚艷

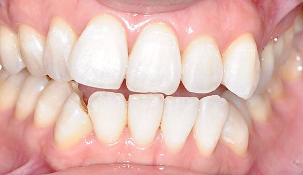
冷光牙齒美白兩星期後
高雄欣美牙醫會推薦繼續居家牙齒美白
搭配牙齒美白牙托 在夜間使用
通常病友們自己在家操作
四個星期就完成了

居家美白後 牙齒明顯變白
表面不均勻的部分也得到改善
結果相當令人驚艷
高雄病友們在牙醫推薦的牙齒美白療程後
往往都能滿意的享受牙齒美白帶來的
自信 美觀改善 心情提升

但有些牙齒變黃的原因不是本身齒色
而是牙垢 蛀牙 過去填補的變色等等
還是推薦高雄病友們牙齒美白前
先讓牙齒美白牙醫先評估
確實找出牙齒不白的原因
對症下藥 才能真正達到牙齒美白治療的推薦效果
找回發自內心的微笑
欣美牙醫線上約診⬇
欣樂牙醫線上約診⬇
欣美牙醫 IG
欣美牙醫 FB
欣樂牙醫 IG
欣樂牙醫 FB