跳到主要內容
[蛀牙填補] 撞斷門牙 門牙斷掉 可以填補嗎? 蛀牙填補推薦 高雄牙醫推薦
高雄牙醫/左營牙醫/牙醫推薦/高雄植牙

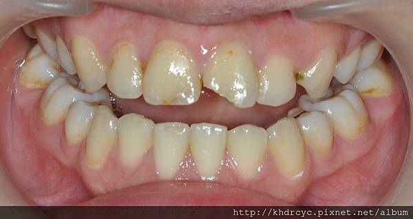
門牙撞斷是常發生的狀況
病友們焦急的來高雄欣美牙醫求診
最想知道的就是
[斷掉的門牙還能填補嗎?]

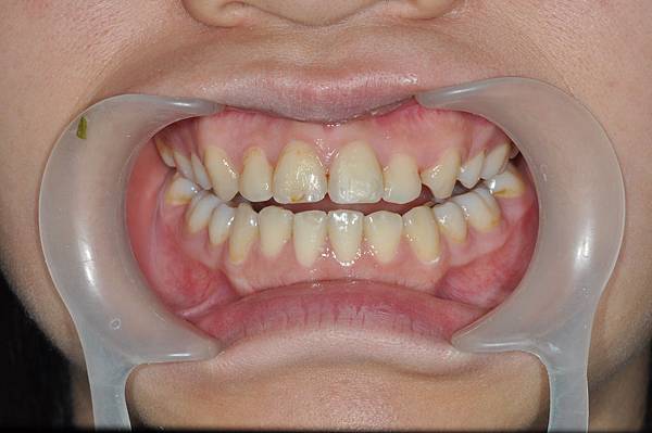
第一步高雄欣美牙醫會建議照X光片檢查
因為必須確定
神經沒有損傷
且牙根沒有損傷
才有填補的機會
且門牙斷裂還要注意是否傷到線角的位置
因為當傷害到線角區
(如圖就是牙齒90角的區域)
未來因為咬合受力的關係
還是很容易咬斷脫落
傷到線角未來仍然可能會咬裂

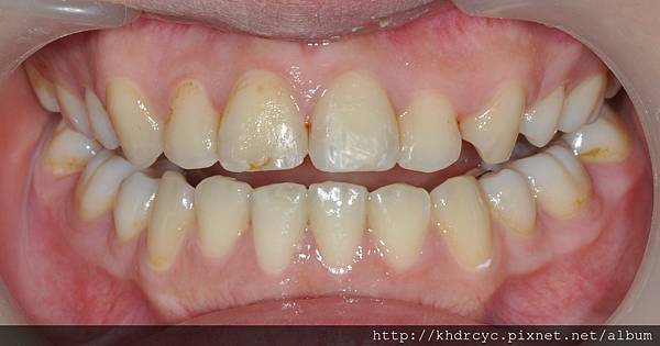
比較門牙斷裂填補之前與治療後

新竹來高雄念書的C同學有相同問題
把門牙給撞斷了
第一時間求助於高雄欣美牙醫
經過診察輕微敏感但還沒有傷到神經
於是高雄欣美牙醫幫她做了填補
這是一次健保治療
治療後高雄欣美牙醫特別強調
雖然看起來很不錯
但因為傷到線角未來仍然可能會咬裂
與C同學在新竹的家長解說病情後
考慮美觀與耐用度
決定後續製作全瓷牙冠
不然大學生正是人生的社交生活正式展開
門面完整性會直接影響美觀與給人的形象
進而影響交友與人際互動
若在重要場合或親密對象一對一交談的過程
發生門牙咬裂的現象那真的會是[永生難忘]的經驗了
本次美觀填補為健保治療
一次療程
馬上改善門面問題
欣樂牙醫 FB
欣樂牙醫線上約診
欣美牙醫線上約診
欣美牙醫 IG
欣美牙醫 FB
欣樂牙醫 IG