跳到主要內容
[牙齒美白] 牙齒填補變色了怎麼辦? 牙齒變色 牙齒美白推薦 高雄牙醫推薦
高雄牙醫/左營牙醫/牙醫推薦/高雄植牙
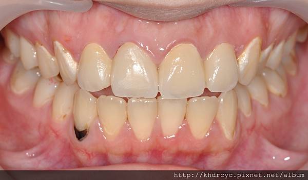
牙齒填補後時間久了
往往會出現變黑變黃的狀況
這樣該怎麼辦呢

欣美牙醫常見到這樣的情形
填補後表面變黃
跟牙齒交界處產生二次蛀牙有黑邊
雖然口腔衛生不錯 但美觀很令人傷心

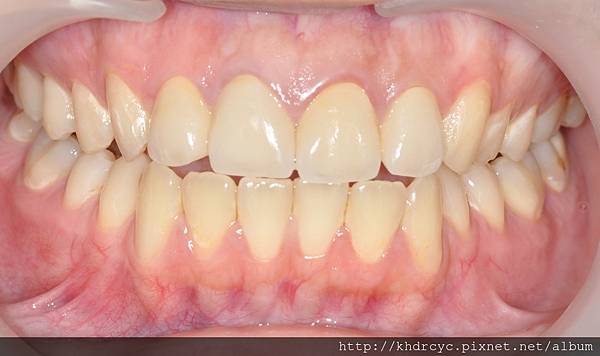
欣美牙醫分兩個部分處理
單純變色的牙齒填補
可以做拋光去垢 最後再做一層薄膜式的填補
讓原本填補的地方跟牙齒更密合就好
而產生蛀牙的牙齒 就必須移除不好的填補
重新做美觀填補 才又恢復了美觀的外型

填補之前別人的注意力都會集中在變色的位置
像是一張白紙上有黑點 叫人不注意都難
填補之後 笑容才有整體感
