[假牙牙套] 怎麼選擇牙鑄心 假牙牙套推薦 高雄牙醫推薦
高雄牙醫/左營牙醫/牙醫推薦/高雄植牙
選擇牙鑄心要考量:
1. 牙齒剩餘結構多寡
2. 所選擇假牙的材質
如果剩餘牙齒有兩個面都還完整
可以選擇現成鑄心
裝置鑄心跟假牙印模可以同時完成
不需要多一個印模製作鑄心的療程
在全瓷牙使用石英鑄心與玻璃纖維鑄心
有金屬的傳統瓷牙則使用螺旋鑄心
鎖上裝置好後 加上樹脂填補恢復牙齒結構
後續的假牙裝置如一般牙齒
若是牙齒缺損太多
或者有某部分缺損嚴重
傷到牙周組織那就必須考慮鑄造鑄心
鑄造鑄心須先印模型製作
在模型上製作鑄心後
下一次療程才能在牙齒上裝上鑄心
製作完畢後裝入牙齒內 所以鑄心完成需兩次療程
裝上假牙完成~~
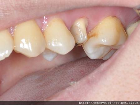
在靠進上顎處缺損嚴重
裂痕延伸至牙肉下
須考慮鑄造鑄心
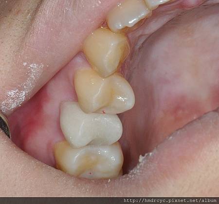
印模完成鑄心後 裝置到牙齒內
當次就可以裝上臨時假牙
當後續假牙要製作全瓷牙冠時
鑄心的選擇就不一樣
為了不讓金屬顏色透出來影響美觀
欣美牙醫推薦選擇鑄造陶瓷鑄心
所以選擇鑄心其實有一個嚴謹的規則
當評估過牙齒的條件後
再評估未來要製作的假牙類型
就可以選擇最適合這顆牙齒的鑄心了
欣樂牙醫線上約診⬇
欣美牙醫 IG
欣美牙醫 FB
欣樂牙醫 IG
欣樂牙醫 FB
欣美牙醫線上約診⬇










