跳到主要內容
[根管治療] 不是抽過神經了 做過根管治療了 為什麼還會痛? 根管治療推薦 高雄牙醫推薦
高雄牙醫/左營牙醫/牙醫推薦/高雄植牙

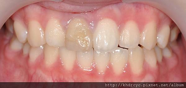
抽過神經之後的牙齒
會有兩個問題
會變黑不好看
會變脆容易斷裂
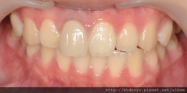
通常會建議做個假牙牙套保護起來
恢復美觀 並防止牙齒斷掉
但有時病友們會有疑惑
[牙齒已經抽過神經了 怎麼還會痛呢]

這種已經根管治療後的牙齒痛
臨床上最常見的狀況 就是牙周發炎
根管治療也就是俗稱的抽神經
是把牙神經部分清乾淨再用牙膠封填起來
但牙齒的周圍神經仍然存在

畫紅線的部分就是牙周神經
並沒有隨根管治療的過程失去
所以當出現牙肉發炎等牙周病變
這顆牙齒仍然會有疼痛的狀況

尤其是根管治療後已經妥善做好假牙
牙齒保護周全的牙齒
疼痛通常來自局部的牙肉發炎

若是未妥善保護的牙齒 甚至已經開始裂開或變黑
那麼疼痛往往會來自更多高風險的狀況:
1. 隔壁牙齒痛
這也是一個常見的狀況 抽過神經的牙齒其實沒症狀
但旁邊的牙齒蛀牙或牙肉發炎 病人本身難以分辨
2. 咬合傷害
當抽過神經牙齒變脆弱 就算正常的咬合力量
也容易造成牙齒承受不住的狀況
輕則造成小片的剝落 重則是牙根斷裂的前兆
3. 牙根斷裂尤其牙齒變黑有裂痕的狀況最危險
很可能在一次重咬後 產生深及牙根的裂痕
當牙根斷裂分開 那就是牙齒的絕症
不但會痛 唯一的處理方法就是拔除
所以預防之道就是根管治療後立即以假牙保護作預防

牙齒變黑之後發生局部斷裂
