跳到主要內容
[假牙牙套] 瓷牙跟全瓷牙可以混著搭配嗎 假牙牙套推薦 高雄牙醫推薦
高雄牙醫/左營牙醫/牙醫推薦/高雄植牙
目前全瓷冠大量的運用在臨床
也將假牙的美觀性推到極致

瓷牙跟全瓷牙的選擇上
在須要美觀的前牙假牙製作
欣美牙醫推薦首選是以全瓷牙為主
在需要咬合強度的後牙
尤其是植牙支撐的假牙
欣美牙醫推薦首選仍舊是全瓷牙

多顆深部蛀牙與嚴重美觀問題

改善較小的蛀牙與美觀缺失

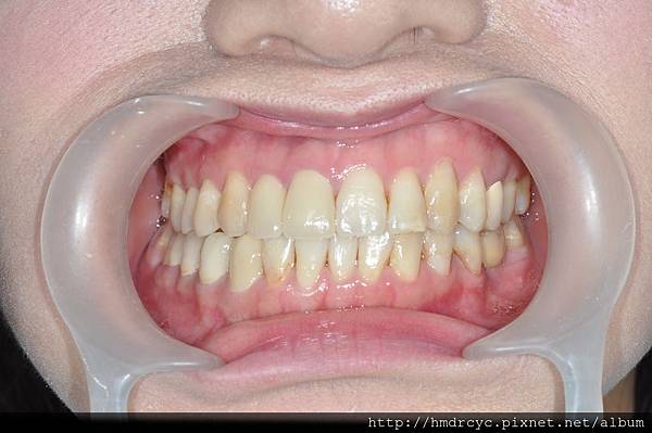
牙齒修磨後上排兩顆門牙預計製作全瓷冠

製作全瓷冠

比較全瓷冠與一般瓷牙的差別
美觀上全瓷冠透光性好顏色表現逼真
看起來會像真牙而且靠牙肉處不會有金屬透出的黑邊
尤其是門面前牙部位
那麼在病友們的臨床選擇上
瓷牙跟全瓷牙可以搭配選擇嗎?
前金的S小姐有相同問題
從美國回來
在台灣停留時間只有短短兩星期
有多顆深部蛀牙與嚴重美觀問題
為了在很短的時間內改善這個狀況
欣美牙醫從根管治療開始
快速而密集的展開療程
在印模型製做假牙的同時
也同步健保規劃改善較小的蛀牙與美觀缺失
下顎四顆假牙則預定前面第一顆犬齒製作全瓷冠
後面三顆製作傳統瓷牙
很幸運在前金的S小姐的共同努力下
欣美牙醫又一次在時限內達成任務
美觀上全瓷冠透光性好顏色表現逼真
看起來會像真牙而且靠牙肉處不會有金屬透出的黑邊
尤其是門面前牙部位
欣美牙醫推薦一定要用全瓷冠
才能確保笑容的自然與真實感
而在功能上
當代全陶瓷技術已經證明
在後牙的性能表現
二氧化鋯技術全瓷牙比傳統瓷牙更好
前金的S小姐因為預算問題
選擇傳統瓷牙欣美牙醫仍舊量身訂作達成任務
治療結果前金的S小姐很感動
在隔年農曆年帶來美國的十幾位親戚
欣美牙醫又完成了如此有挑戰性的任務
欣樂牙醫線上約診
欣美牙醫線上約診
欣美牙醫 IG
欣美牙醫 FB
欣樂牙醫 IG
欣樂牙醫 FB