跳到主要內容
[蛀牙填補] 為什麼矯正前牙醫說需要先補蛀牙? 蛀牙填補推薦 高雄牙醫推薦
高雄牙醫/左營牙醫/牙醫推薦/高雄植牙
專業矯正診所像高雄欣美牙醫
在矯正治療開始前
往往會評估需要矯正前治療

因為牙齒黏上矯正器之後清潔難度大增
所以若在矯正前就無法做到理想的清潔
未來矯正器黏上去之後
不管牙周病或者蛀牙都會變得更嚴重

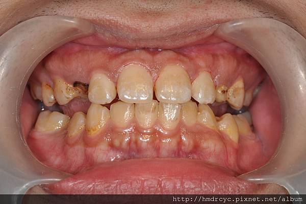
先改善口腔衛生與蛀牙問題

牙肉消腫沒有流血

台南來的C先生完成矯正評估
但在矯正前高雄欣美牙醫希望先改善
口腔衛生與蛀牙問題
不然以台南的C先生現在的清潔能力
維持牙齒的結果相當不理想
未來若裝上矯正器與矯正線
清潔難度會加倍
難以想像牙周與蛀牙的狀況會如何失控
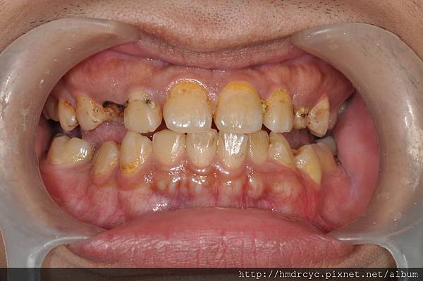
全口洗牙清潔後等牙肉消腫沒有流血
搭配口腔衛教讓台南的C先生
學會刷牙與牙線用法
開始填補蛀牙
口腔衛生改善許多
這些步驟都是為了避免[矯正成功 牙齒蛀光]
防止矯正結束後變成根管治療與假牙的開始
3週後 矯正前治療完成
全部為健保規劃治療
台南的C先生顯然做好了要矯正的準備
我們有信心矯正治療後台南C先生的牙齒仍舊保持健康

了解矯正前蛀牙控制
