跳到主要內容
[牙周病洗牙] 牙周病會傳染嗎? 傳染牙周病 牙周病洗牙推薦 高雄牙醫推薦
高雄牙醫/左營牙醫/牙醫推薦/高雄植牙
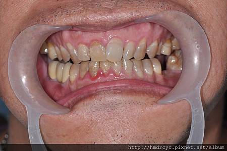
病友們常問欣美牙醫[牙周病會傳染嗎?]

研究發現牙周病是一種細菌造成的慢性病
牙周病透過親密接觸會傳染細菌
像是親吻 共食 共用牙刷等等
提高對方口腔內的牙周病細菌濃度
牙周病人的口腔內
有牙周病的牙齒也會把細菌傳染給其他牙齒

就像感冒傳染時免疫力高的人不見得會感冒一樣
牙周病細菌傳染時清潔程度就成為重點
如果牙刷牙線正確使用
定期洗牙回診
就算細菌傳染也不見得會變成牙周病
但欣美牙醫建議預防勝於治療
盡量還是避免傳染
且提升正確的清潔能力
定期洗牙清除牙結石 減少細菌量
才是防止感染牙周病的好方法
