[牙周病洗牙] 牙周膿腫 牙肉腫起來 牙周病洗牙推薦 高雄牙醫推薦
高雄牙醫/左營牙醫/牙醫推薦/高雄植牙
欣美牙醫常開玩笑說
牙肉很像青春期的少年
只要發炎都會很戲劇化
病友常有牙周化膿問題
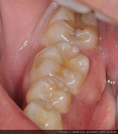
[牙肉腫很大 痛是還好 只是有點擔心]
這種牙肉發炎後腫起來
是因為發炎的部位積膿
在牙齒與牙肉中間排不出來
最後過多的膿把牙肉都撐開變成膿包
病友們通常不會感覺過度疼痛
但不理它後越腫越大
只要局部清潔洗牙
把膿包旁邊的牙結石 塞住的牙垢清掉
搭配膿包沖洗 三天左右就會消掉
但發生牙周膿腫就凸顯出
過去的清潔習慣有蠻大的問題
腫大的地方是清潔的死角
消腫之後常可以明顯看到殘留的牙結石
若不改進清潔習慣 往往還會再發
所以若發生牙周膿腫 盡快請醫師治療
且後續要繼續牙周病治療
改善清潔習慣 善用牙刷牙線漱口水
定期回診洗牙 才不會反覆發作
最後變成嚴重的牙周病



