跳到主要內容
[假牙牙套] 假牙跟牙肉不密合怎麼辦 假牙露出牙根 假牙牙套推薦 高雄牙醫推薦
高雄牙醫/左營牙醫/牙醫推薦/高雄植牙
欣美欣樂牙醫常強調
[假牙做完是開始不是結束
確實清潔定期回診才能確保長期穩定]

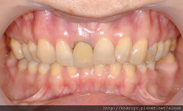
門牙假牙不管外觀或牙齒位置都出現問題

同時治療根管與牙周套上臨時假牙

臨時假牙置換成正式假牙

了解假牙跟牙肉不密合的處理差異


楠梓的G小姐有同樣問題
很多年前做了門牙假牙
中間的維持並不是很理想
不管外觀或牙齒位置都出現問題
楠梓G小姐找欣美牙醫幫忙
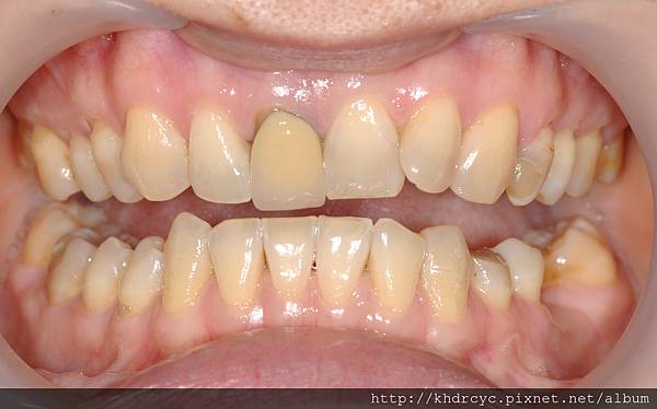
發現同時有蛀牙 咬合 牙周病與根管問題
欣美牙醫幫忙拆除假牙
並同時治療根管與牙周套上臨時假牙
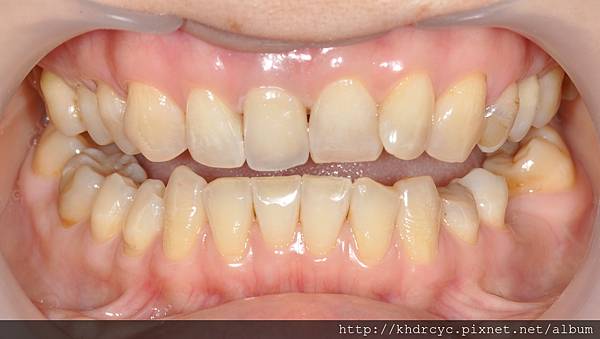
在反覆確認臨時假牙外型與角度後
請假牙技師現場紀錄楠梓G小姐的牙齒顏色
將臨時假牙置換成正式假牙
楠梓G小姐很開心更興奮的是他先生
因為好多年來他早就忘記太太美麗的笑容
楠梓G小姐也很疑惑
到底這些年是怎麼忍受那顆不美觀的牙齒
欣美牙醫感受到一顆假牙改善
帶來整個家庭的幸福
很開心幫楠梓G小姐的先生也預約洗牙
後來有許多楠梓的病友們指定欣美牙醫幫忙
都是楠梓G小姐跟先生介紹的呢

