跳到主要內容
[拔牙手術] 牙齒是不是最好都保留? 牙齒最好不要拔? 高雄牙醫 拔牙手術推薦
高雄牙醫/左營牙醫/牙醫推薦/高雄植牙
[這顆牙齒建議還是拔除吧]
[可是醫師 我家人說牙齒最好都不要拔耶]
這樣的對話 偶而就會在欣美牙醫出現
為什麼醫師會建議拔牙 到底該不該拔呢

病友們有些觀念是根深蒂固的
[牙齒能留盡量留]
[能不要拔就不要拔]
[最好都保留 拔牙不好]
欣美牙醫強調: 在一般狀況來說
其實這是正確的觀念
若是牙齒功能健全 問題在可治療範圍內
且長期維護可行 不會造成其他牙齒的問題
那當然能保留就保留 千萬不要拔

但反過來說 醫師建議拔牙一定有理由
若牙齒已經失去功能 無法治療
難以長期維護 又會對其他牙齒造成困擾
這時候保留下來會有許多後遺症
且往往不是當下就看的到

醫師有沒有可能建議拔除一個
沒有蛀牙沒有牙周病的"好"牙齒?
答案是會的 通常智齒就是這樣的狀況
因為智齒當下雖然沒有明顯問題
但時間拉長卻會因為難以清潔
危害前面重要的大臼齒與智齒本身
所以醫師建議拔掉沒有用的智齒
是為了保住最重要的大臼齒

其他還有許多問題 都是無法治療
醫師會建議拔除的

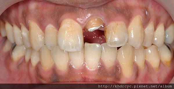
像牙根斷裂 就是牙齒的絕症
少數病友在欣美牙醫講解後
仍舊堅持要繼續保留 後續的狀況是
牙根斷掉後 一咬就會痛帶來生活嚴重的困擾
發炎的肉會長進牙根裂痕中
慢慢破壞周遭的骨頭甚至化膿長膿包
時間久了後 骨頭也流失
累積細菌的量會很可觀
容易導致蜂窩性組織炎
真的無法再拖最後拔除之後
常會因為骨頭過度萎縮
而無法進行後續假牙或植牙的療程

嚴重牙周病導致骨頭破壞嚴重
已經治不好的牙齒 醫師常會建議拔除
少數病友在欣美牙醫講解後
仍舊堅持要繼續保留 後續的狀況是
牙齒動搖度越來越高 細菌累積的量很大
除了容易長牙周膿包外
也會開始感染破壞隔壁牙齒的骨頭
最後終於牙齒浮起來不得不拔除
剩下骨頭太少也會導致假牙或植牙的困難
最糟糕的是隔壁牙齒常常也已經牙周病嚴重了

這些例子都是要讓病友們知道
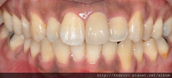
能保留能治療的牙齒
欣美牙醫會跟病友們討論治療計劃
若是無法保留 必須拔除的牙齒
欣美牙醫絕對有重大的理由
不會隨便建議病友們拔牙齒
也不會強迫病友們拔牙
只是要記住 一顆已經需要拔除的牙齒
硬是保留下來 絕對會有後遺症
一段時間之後 往往情況會變成不得不拔
可惜那時候 隔壁的牙齒與後續的假牙計劃往往就不理想了
欣樂牙醫 IG
欣樂牙醫 FB
欣樂牙醫線上約診
欣美牙醫線上約診
欣美牙醫 IG
欣美牙醫 FB