跳到主要內容
[牙齒美白] 牙齒變色怎麼辦 改善牙齒變色 牙齒美白推薦 高雄牙醫推薦
高雄牙醫/左營牙醫/牙醫推薦/高雄植牙
當牙齒有神經壞死或根管治療久了
就會出現明顯的色差 時間越久
顏色會越暗 這時候該怎麼辦呢

單純牙齒變色可以考慮齒內美白
做法跟全口的牙齒美白不同
把藥劑放入根管內 美白的範圍侷限在單顆牙齒
這是一個有效的治療方法 但可能會加重牙齒脆弱的問題
所以常是用在做全瓷牙冠之前
將牙根與牙冠靠牙肉處先顏色淡化

若同時有顏色與牙齒角度的問題
全瓷冠是最佳考量
此時要考慮牙肉的厚度
是否可以遮住牙根顏色
若牙肉不夠厚牙根顏色會透出來
還必須先做齒內美白改善牙根部位的顏色

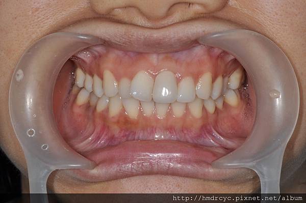
門齒變色且角度外翻

並修正牙齒角度拉平內縮
比較一下

三民區的S小姐有相同問題
左上門齒變色且角度外翻
右上門牙同樣有角度問題
但因為預算考量單純治療左側門牙
欣美牙醫用全瓷牙做出自然的牙齒顏色
並修正牙齒角度拉平內縮
治療結果 三民區S小姐
左側的假牙會比右側真牙還漂亮
但原本顏色與角度上的不美觀已經完全改善
這樣的假牙設計進可攻退可守
未來若克服預算問題 右側門牙想要改善美觀
同樣可以做全瓷牙設計
兩顆牙對稱後美觀性會再加倍提升
欣樂牙醫 FB
欣樂牙醫線上約診
欣美牙醫線上約診
欣美牙醫 IG
欣美牙醫 FB
欣樂牙醫 IG