[牙齒美白] 噴砂美白 牙齒美白推薦 高雄牙醫推薦
高雄牙醫/左營牙醫/牙醫推薦/高雄植牙
噴砂美白能安全快速去除牙齒表面垢漬
主要功能為去除菸垢 茶垢 咖啡垢 黃垢
能讓牙齒原本的白色透明度顯現出來
馬上達到美白的效果
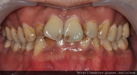
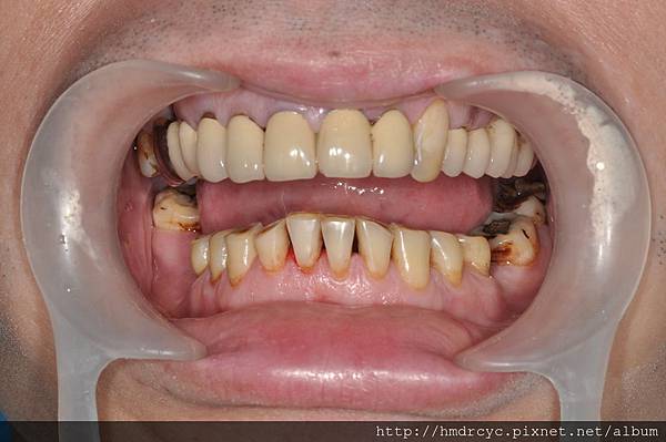
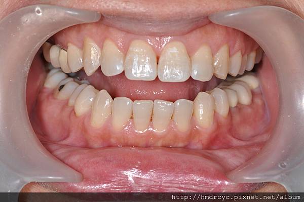
菸垢明顯
噴砂美白後立刻獲得改善
笑起來更有自信 講話也不會有怪味
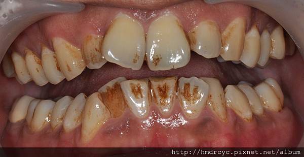
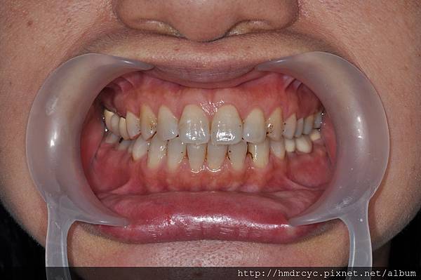
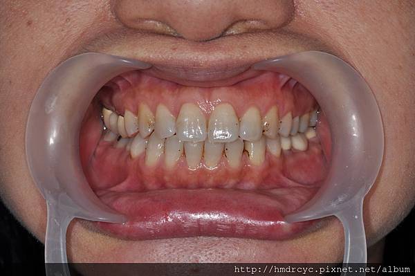
前後差別
了解噴砂美白的差異
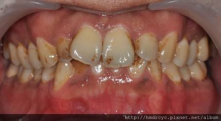
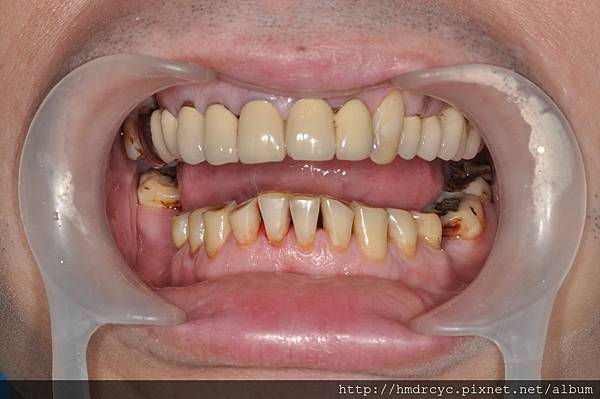
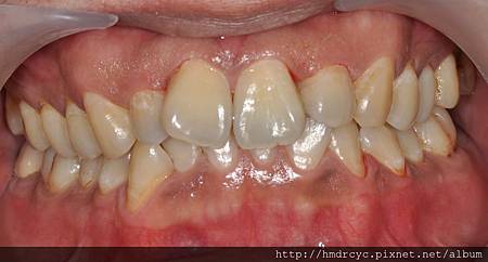
仁武Y先生有相同問題
菸垢明顯 舌頭出現異物感
噴砂美白後立刻獲得改善
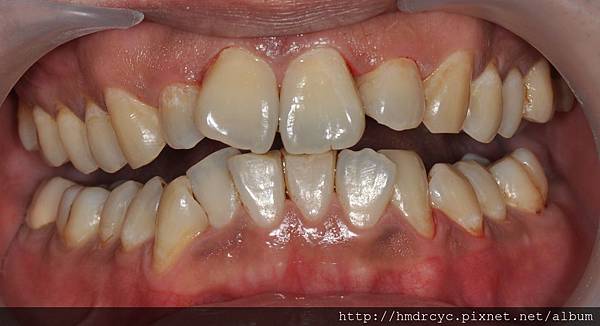
馬上跟欣美牙醫預約了冷光美白治療
笑起來更有自信 講話也不會有怪味
因為前後差別太大仁武Y先生很開心的戒菸
評估沒問題後













