[拔牙手術] 一般手術拔牙 高雄牙醫 拔牙手術推薦

高雄牙醫/左營牙醫/牙醫推薦/高雄植牙

一般手術拔牙是門診手術
需要切開縫合
局部麻醉即可不需要進開刀房全身麻醉

  高雄牙醫/左營牙醫/牙醫推薦/高雄植牙

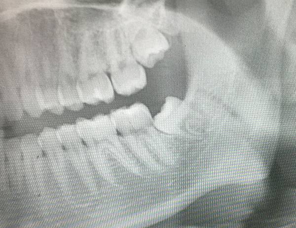
手術前確認X光片預先了解牙齒的位置與角度

高雄牙醫/左營牙醫/牙醫推薦/高雄植牙

全口片可以預先知道牙根型態相關神經位置
側拍了解手術過程
操作包括:
切開手術區域
牙齒拔除
傷口縫合

高雄牙醫/左營牙醫/牙醫推薦/高雄植牙

最後拔出來的牙齒
一般手術拔牙為健保治療
建議療程為三次約診治療
包括第一次 門診手術拔牙
第二次 隔天傷口檢查
以及 5-7天後的拆線 
欣美牙醫 FB
欣樂牙醫 IG
欣樂牙醫 FB
欣樂牙醫線上約診
欣美牙醫線上約診
欣美牙醫 IG