跳到主要內容
[假牙牙套] 缺牙沒有補會怎麼樣呢 缺齒後遺症 假牙牙套推薦 高雄牙醫推薦
高雄牙醫/左營牙醫/牙醫推薦/高雄植牙

許多病友來欣美牙醫會有疑問
[牙齒拔除之後 是不是一定補?]
在一些特殊狀況 缺牙後不需要補回來
包括:沒有功能的智齒 多生牙 埋伏牙等等

除了這些狀況以外
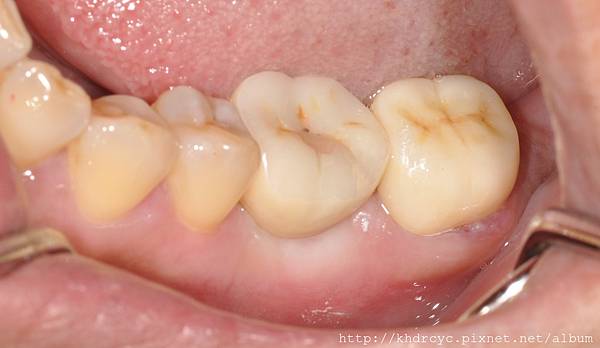
大部分缺牙還是要補
以假牙或植牙來恢復原本牙齒位置

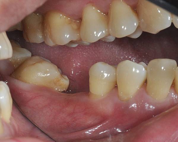
如果牙齒拔除之後放著不管
將會有兩個大問題
1. 牙齒向前傾斜
2. 對面牙齒過度生長

牙齒的施力方向是朝中線
也就是門牙中間的方向
當缺牙發生 後面那顆牙齒就會出現向前傾斜

向前傾斜的牙齒不但咬合位置會變差
而且倒下來的角度會造成不容易清潔
發生牙周病或蛀牙

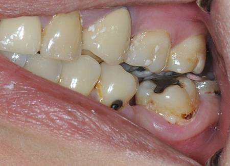
輕度的傾斜還可以保留牙齒
不管是直接做假牙或植牙
還有機會恢復

但若時間經過太久
倒下來的牙齒會躺平在牙床上
完全失去牙齒的功能
最後必須拔除

對面的牙齒也不會閒著
缺牙後它會一步一步的長出來
不斷往對面牙床前進
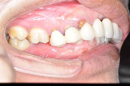
若時間經過太久
嚴重到咬到對面
那就會造成嚴重的咬合喪失

反過來說 若缺牙之後立刻恢復
不論是做假牙或者植牙

都可以在牙齒條件好的狀況下順利改善
拖久了不管是後面的牙齒傾倒
或對面的牙齒長下來
都需要花費額外的時間與費用
繞一大圈回到原點
花很大的功夫恢復到剛缺牙時的牙齒狀況
所以欣美牙醫建議
缺牙後馬上補回來才是最明智的做法
欣美牙醫線上約診⬇
欣樂牙醫線上約診⬇
欣美牙醫 IG
欣美牙醫 FB
欣樂牙醫 IG
欣樂牙醫 FB